• Tel: 858.663.9055
  • SeparatorEmail: info@nsjbio.com
  • Tel: 858.663.9055
  • Email: info@nsjbio.com
Home >> Antibodies >> CCL6 Antibody

CCL6 Antibody (RQ4665)

  Catalog No Formulation Size Price (USD)  
Image RQ4665 0.5mg/ml if reconstituted with 0.2ml sterile DI water 100 ug 439
Bulk quote request
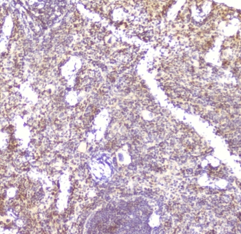
IHC staining of FFPE mouse spleen with CCL6 antibody at 2ug/ml. HIER: boil tissue sections in pH6, 10mM citrate buffer, for 10-20 min followed by cooling at RT for 20 min.
Western blot testing of 1ng of mouse recombinant protein with CCL6 antibody at 0.5ug/ml.
Availability 1-3 business days
Species Reactivity Mouse
Format Antigen affinity purified
Clonality Polyclonal (rabbit origin)
Isotype Rabbit IgG
Purity Antigen affinity purified
Buffer Lyophilized from 1X PBS with 2% Trehalose and 0.025% sodium azide
UniProt P27784
Localization Secreted
Applications Western Blot : 0.5-1ug/ml
IHC (FFPE) : 1-2ug/ml
ELISA (Capture) : 1-5ug/ml (mouse recombinant protein)
Limitations This CCL6 antibody is available for research use only.
Review this product on BioCompare and get a $20 Amazon gift card

Description

Chemokine (C-C motif) ligand 6 (CCL6) is a small cytokine belonging to the CC chemokine family that has only been identified in rodents. In mice, CCL6 is expressed in cells from neutrophil and macrophage lineages, and can be greatly induced under conditions suitable for myeloid cell differentiation. It is highly expressed in bone marrow cultures that have been stimulated with the cytokine GM-CSF. Some low levels of gene expression also occur in certain cell lines of myeloid origin (e.g. the immature myeloid cell lines DA3 and 32D cl3, and the macrophage cell line P388D) that can also be greatly induced in culture with GM-CSF. However, in activated T cell lines, expression of CCL6 is greatly reduced.CCL6 can also be induced in the mouse lung by the cytokine interleukin 13. Mouse CCL6 is located on chromosome 11. The cell surface receptor for CCL6 is believed to be the chemokine receptor CCR1.

Application Notes

Optimal dilution of the CCL6 antibody should be determined by the researcher.

Immunogen

Amino acids G22-A116 from the mouse protein were used as the immunogen for the CCL6 antibody.

Storage

After reconstitution, the CCL6 antibody can be stored for up to one month at 4oC. For long-term, aliquot and store at -20oC. Avoid repeated freezing and thawing.

Cross
Bulk Quote Request Form
Name*:
Organization*:
Email*:
Phone Number*:
Catalog No.*:
Comments and Specifics(amount, formulation, etc.)*:
Validation code: Captchapackage Image


Can't read the image? click here to refresh.
    *required field

Your bulk quote request has been submitted successfully!

Please contact us if you have any questions.