• Tel: 858.663.9055
  • SeparatorEmail: info@nsjbio.com
  • Tel: 858.663.9055
  • Email: info@nsjbio.com
Home >> Antibodies >> CCL4 Antibody

CCL4 Antibody (F40003)

  Catalog No Formulation Size Price (USD)  
Image F40003-0.4ML In 1X PBS, pH 7.4, with 0.09% sodium azide 0.4 ml 429
Image
F40003-0.08ML In 1X PBS, pH 7.4, with 0.09% sodium azide 0.08 ml 199
Bulk quote request
CCL4 antibody western blot analysis in mouse bladder tissue lysate (15ug/lane).
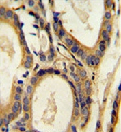
CCL4 antibody immunohistochemistry analysis in formalin fixed and paraffin embedded human prostate carcinoma.
Availability 1-3 business days
Species Reactivity Human, Mouse
Format Antigen affinity purified
Clonality Polyclonal (rabbit origin)
Isotype Rabbit Ig
Purity Antigen affinity
UniProt P13236
Applications Western Blot : 1:1000
IHC (Paraffin) : 1:50-1:100
Limitations This CCL4 antibody is available for research use only.
Review this product on BioCompare and get a $20 Amazon gift card

Related Products

Description

This gene is one of several cytokine genes clustered on the q-arm of chromosome 17. Cytokines are a family of secreted proteins involved in immunoregulatory and inflammatory processes. This protein is CCL4 which inhibits HIV entry by binding to the cellular receptor CCR5. The copy number of this gene varies among individuals; most individuals have 1-5 copies in the diploid genome, although rare individuals do not contain this gene at all. The human genome reference assembly contains two copies of this gene. This record represents the more centromeric gene. [provided by RefSeq].

Application Notes

Titration of the CCL4 antibody may be required due to differences in protocols and secondary/substrate sensitivity.

Immunogen

A portion of amino acids 22-48 from the human protein was used as the immunogen for this CCL4 antibody.

Storage

Aliquot the CCL4 antibody and store frozen at -20oC or colder. Avoid repeated freeze-thaw cycles.

Cross
Bulk Quote Request Form
Name*:
Organization*:
Email*:
Phone Number*:
Catalog No.*:
Comments and Specifics(amount, formulation, etc.)*:
Validation code: Captchapackage Image


Can't read the image? click here to refresh.
    *required field

Your bulk quote request has been submitted successfully!

Please contact us if you have any questions.