• Tel: 858.663.9055
  • SeparatorEmail: info@nsjbio.com
  • Tel: 858.663.9055
  • Email: info@nsjbio.com
Home >> Antibodies >> CCL4 Antibody / C-C Motif Chemokine Ligand 4 / MIP-1 beta

CCL4 Antibody / C-C Motif Chemokine Ligand 4 / MIP-1 beta (R31493)

  Catalog No Formulation Size Price (USD)  
Image R31493 0.5mg/ml if reconstituted with 0.2ml sterile DI water 100 ug 439
Bulk quote request
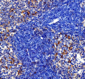
IHC staining of FFPE rat spleen tissue with CCL4 antibody. HIER: boil tissue sections in pH8 EDTA for 20 min and allow to cool before testing.
IHC staining of FFPE rat spleen tissue with CCL4 antibody. HIER: boil tissue sections in pH8 EDTA for 20 min and allow to cool before testing.
Western blot testing of CCL4 antibody recombinant rat CCL4 protein (10ng/lane).
Availability 1-3 business days
Species Reactivity Rat
Format Antigen affinity purified
Clonality Polyclonal (rabbit origin)
Isotype Rabbit IgG
Purity Antigen affinity
Buffer Lyophilized from 1X PBS with 2% Trehalose
Gene ID 116637
Applications Western Blot : 0.5-1ug/ml
Immunohistochemistry (FFPE) : 2-5ug/ml
Limitations This CCL4 antibody is available for research use only.
Review this product on BioCompare and get a $20 Amazon gift card

Related Products

Description

Chemokine (C-C motif) ligand 4 is a protein which in human is encoded by the CCL4 gene. By analysis of somatic cell hybrids and by in situ hybridization, the gene was assigned to 17q21-q23. It is a CC chemokine with specificity for CCR5 receptors. It is a chemoattractant for natural killer cells, monocytes and a variety of other immune cells. CCL4 is a major HIV-suppressive factor produced by CD8+ T cells. Performing-low memory CD8+ T cells that normally synthesize CCL4. Based on functional analysis, one or more additional beta chemokine receptors that transduce CCL4 signals must also exist. MIP-1alpha and CCL4 have been shown to lack affinity for the erythrocyte surface chemokine receptor/Duffy antigen that binds many alpha as well as beta chemokines(11, 14).

Application Notes

The stated application concentrations are suggested starting amounts. Titration of the CCL4 antibody may be required due to differences in protocols and secondary/substrate sensitivity.

Immunogen

Rat partial recombinant protein (AA 24-92) was used as the immunogen for this CCL4 antibody.

Storage

After reconstitution, the CCL4 antibody can be stored for up to one month at 4oC. For long-term, aliquot and store at -20oC. Avoid repeated freezing and thawing.

Cross
Bulk Quote Request Form
Name*:
Organization*:
Email*:
Phone Number*:
Catalog No.*:
Comments and Specifics(amount, formulation, etc.)*:
Validation code: Captchapackage Image


Can't read the image? click here to refresh.
    *required field

Your bulk quote request has been submitted successfully!

Please contact us if you have any questions.