• Tel: 858.663.9055
  • SeparatorEmail: info@nsjbio.com
  • Tel: 858.663.9055
  • Email: info@nsjbio.com
Home >> Antibodies >> CCL20 Antibody

CCL20 Antibody (R33269)

  Catalog No Formulation Size Price (USD)  
Image R33269-100UG 0.5 mg/ml in 1X TBS, pH7.3, with 0.5% BSA (US sourced) and 0.02% sodium azide 100 ug 449
Bulk quote request
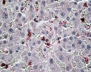
IHC testing of FFPE human liver with CCL20 antibody at 6ug/ml. HIER: steamed with pH6 citrate buffer, AP-staining.
Availability 1-3 business days
Species Reactivity Human
Predicted Reactivity Pig, Cow
Format Antigen affinity purified
Clonality Polyclonal (goat origin)
Isotype Goat Ig
Purity Antigen affinity
Gene ID 6364
Localization Cytoplasmic, secreted
Applications Immunohistochemistry (FFPE) : 6-8ug/ml
ELISA (peptide) LOD : 1:16000
Limitations This CCL20 antibody is available for research use only.
Review this product on BioCompare and get a $20 Amazon gift card

Related Products

Description

Additional name(s) for this target protein: Chemokine (C-C motif) ligand 20; MIP-3 alpha

Application Notes

Optimal dilution of the CCL20 antibody should be determined by the researcher.

Immunogen

Amino acids CLGYTDRILHPK were used as the immunogen for this CCL20 antibody.

Storage

Aliquot and store the CCL20 antibody at -20oC.

Cross
Bulk Quote Request Form
Name*:
Organization*:
Email*:
Phone Number*:
Catalog No.*:
Comments and Specifics(amount, formulation, etc.)*:
Validation code: Captchapackage Image


Can't read the image? click here to refresh.
    *required field

Your bulk quote request has been submitted successfully!

Please contact us if you have any questions.