• Tel: 858.663.9055
  • SeparatorEmail: info@nsjbio.com
  • Tel: 858.663.9055
  • Email: info@nsjbio.com
Home >> Antibodies >> CCL14 Antibody / C-C motif chemokine 14

CCL14 Antibody / C-C motif chemokine 14 (RQ7065)

  Catalog No Formulation Size Price (USD)  
Image RQ7065 0.5mg/ml if reconstituted with 0.2ml sterile DI water 100 ug 439
Bulk quote request
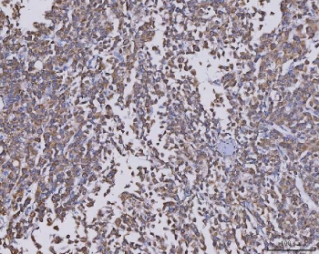
IHC staining of FFPE human liver cancer tissue with CCL14 antibody. HIER: boil tissue sections in pH8 EDTA for 20 min and allow to cool before testing.
IHC staining of FFPE human breast cancer tissue with CCL14 antibody. HIER: boil tissue sections in pH8 EDTA for 20 min and allow to cool before testing.
Availability 1-3 business days
Species Reactivity Human
Format Antigen affinity purified
Clonality Polyclonal (rabbit origin)
Isotype Rabbit IgG
Purity Antigen affinity purified
Buffer Lyophilized from 1X PBS with 2% Trehalose
UniProt Q16627
Applications Immunohistochemistry (FFPE) : 2-5ug/ml
Direct ELISA : 0.1-0.5ug/ml
Limitations This CCL14 antibody is available for research use only.
Review this product on BioCompare and get a $20 Amazon gift card

Description

Chemokine (C-C motif) ligand 14 (CCL14) is a small cytokine belonging to the CC chemokine family. This gene, chemokine (C-C motif) ligand 14, is one of several CC cytokine genes clustered on 17q11.2. The CC cytokines are secreted proteins characterized by two adjacent cysteines. The cytokine encoded by this gene induces changes in intracellular calcium concentration and enzyme release in monocytes. Multiple transcript variants encoding different isoforms have been found for this gene. Read-through transcripts are also expressed that include exons from the upstream cytokine gene, chemokine (C-C motif) ligand 15, and are represented as GeneID: 348249.

Application Notes

Optimal dilution of the CCL14 antibody should be determined by the researcher.

Immunogen

Recombinant human protein (amino acids T20-N93) was used as the immunogen for the CCL14 antibody.

Storage

After reconstitution, the CCL14 antibody can be stored for up to one month at 4oC. For long-term, aliquot and store at -20oC. Avoid repeated freezing and thawing.

Cross
Bulk Quote Request Form
Name*:
Organization*:
Email*:
Phone Number*:
Catalog No.*:
Comments and Specifics(amount, formulation, etc.)*:
Validation code: Captchapackage Image


Can't read the image? click here to refresh.
    *required field

Your bulk quote request has been submitted successfully!

Please contact us if you have any questions.