• Tel: 858.663.9055
  • SeparatorEmail: info@nsjbio.com
  • Tel: 858.663.9055
  • Email: info@nsjbio.com
Home >> Antibodies >> CCKBR Antibody

CCKBR Antibody (R34054)

  Catalog No Formulation Size Price (USD)  
Image R34054-100UG 0.5 mg/ml in 1X TBS, pH7.3, with 0.5% BSA (US sourced) and 0.02% sodium azide 100 ug 449
Bulk quote request
Western blot testing of mouse pancreas with CCKBR antibody at 1ug/ml. Predicted molecular weight ~48 kDa, but can be observed at 68-97 kDa.
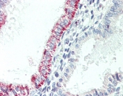
IHC testing of FFPE human uterus tissue with CCKBR antibody at 5ug/ml. Required HIER: steamed antigen retrieval with pH6 citrate buffer; AP-staining.
IHC testing of FFPE human pancreas tissue with and without CCKBR antibody at 5ug/ml. Required HIER: steamed antigen retrieval with pH6 citrate buffer; HRP-staining.
Availability 1-3 business days
Species Reactivity Human, Mouse
Format Antigen affinity purified
Clonality Polyclonal (goat origin)
Isotype Goat Ig
Purity Antigen affinity
Gene ID 887
Applications Western Blot : 1-3ug/ml
IHC (FFPE) : 5-6ug/ml
ELISA (peptide) LOD : 1:16000
Limitations This CCKBR antibody is available for research use only.
Review this product on BioCompare and get a $20 Amazon gift card

Related Products

  • Applications : WB, FACS
    Reactivity : Human, Mouse, Rat

Description

Additional name(s) for this target protein: Cholecystokinin B receptor

Application Notes

Optimal dilution of the CCKBR antibody should be determined by the researcher.

Immunogen

Amino acids FDGDSDSDSQSRVRNQ were used as the immunogen for this CCKBR antibody.

Storage

Aliquot and store the CCKBR antibody at -20oC.

Cross
Bulk Quote Request Form
Name*:
Organization*:
Email*:
Phone Number*:
Catalog No.*:
Comments and Specifics(amount, formulation, etc.)*:
Validation code: Captchapackage Image


Can't read the image? click here to refresh.
    *required field

Your bulk quote request has been submitted successfully!

Please contact us if you have any questions.