• Tel: 858.663.9055
  • SeparatorEmail: info@nsjbio.com
  • Tel: 858.663.9055
  • Email: info@nsjbio.com
Home >> Antibodies >> CCKAR Antibody

CCKAR Antibody (R34055)

  Catalog No Formulation Size Price (USD)  
Image R34055-100UG 0.5 mg/ml in 1X TBS, pH7.3, with 0.5% BSA (US sourced) and 0.02% sodium azide 100 ug 449
Bulk quote request
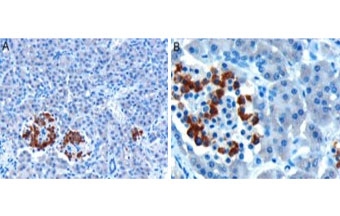
IHC testing of FFPE human pancreas with CCKAR antibody at 10ug/ml. HIER: microwaved with pH6 citrate buffer, HRP-staining.
Availability 1-3 business days
Species Reactivity Human, Rat
Format Antigen affinity purified
Clonality Polyclonal (goat origin)
Isotype Goat Ig
Purity Antigen affinity
Gene ID 886
Applications Immunohistochemistry (FFPE) : 10ug/ml
ICC/IF : suitable
ELISA (peptide) LOD : 1:4000
Limitations This CCKAR antibody is available for research use only.
Review this product on BioCompare and get a $20 Amazon gift card

Description

Additional name(s) for this target protein: Cholecystokinin A receptor

Application Notes

Optimal dilution of the CCKAR antibody should be determined by the researcher.

Immunogen

Amino acids FEASQKKSAKERKPST were used as the immunogen for this CCKAR antibody.

Storage

Aliquot and store the CCKAR antibody at -20oC.

Cross
Bulk Quote Request Form
Name*:
Organization*:
Email*:
Phone Number*:
Catalog No.*:
Comments and Specifics(amount, formulation, etc.)*:
Validation code: Captchapackage Image


Can't read the image? click here to refresh.
    *required field

Your bulk quote request has been submitted successfully!

Please contact us if you have any questions.