• Tel: 858.663.9055
  • SeparatorEmail: info@nsjbio.com
  • Tel: 858.663.9055
  • Email: info@nsjbio.com
Home >> Antibodies >> CCAR1 Antibody

CCAR1 Antibody (R35815)

  Catalog No Formulation Size Price (USD)  
Image R35815-100UG 0.5 mg/ml in 1X TBS, pH7.3, with 0.5% BSA (US sourced) and 0.02% sodium azide 100 ug 449
Bulk quote request
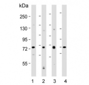
Western blot testing of rat skeletal muscle lysate with CCAR1 antibody at 1ug/ml. Predicted molecular weight: ~130kDa. Both observed bands are blocked by addition of immunizing peptide.
Availability 1-3 business days
Species Reactivity Human, Mouse, Rat
Predicted Reactivity Cow, Dog, Pig
Format Antigen affinity purified
Clonality Polyclonal (goat origin)
Isotype Goat Ig
Purity Antigen affinity
Gene ID 55749
Applications Western Blot : 1-3ug/ml
ELISA (peptide) LOD : 1:16000
Limitations This CCAR1 antibody is available for research use only.
Review this product on BioCompare and get a $20 Amazon gift card

Related Products

  • Applications : WB
    Reactivity : Human
  • Applications : WB, IHC-P
    Reactivity : Human, Mouse
  • Applications : WB, ELISA (peptide)
    Reactivity : Human
  • Applications : WB, ELISA (peptide)
    Reactivity : Human, Mouse, Rat, Pig
  • Applications : WB, ELISA (peptide)
    Reactivity : Mouse
    Pred. Reactivity : Rat, Pig, Cow
  • Applications : IF, ELISA (peptide)
    Reactivity : Human
    Pred. Reactivity : Mouse, Pig, Rat
  • Applications : WB
    Reactivity : Human, Mouse, Rat
  • Applications : WB
    Reactivity : Mouse, Rat
    Pred. Reactivity : Human
  • Applications : WB, IP, IF, FACS, Direct ELISA
    Reactivity : Human, Rat
  • Applications : WB, IF, IHC-P
    Reactivity : Human
  • Applications : ELISA, FACS, IF, IHC, ICC, WB
    Reactivity : Human, Mouse, Rat

Description

Additional name(s) for this target protein: Cell division cycle and apoptosis regulator 1

Application Notes

Optimal dilution of the CCAR1 antibody should be determined by the researcher.

Immunogen

Amino acids RYCKERPSKDKE were used as the immunogen for this CCAR1 antibody.

Storage

Aliquot and store the CCAR1 antibody at -20oC.

Cross
Bulk Quote Request Form
Name*:
Organization*:
Email*:
Phone Number*:
Catalog No.*:
Comments and Specifics(amount, formulation, etc.)*:
Validation code: Captchapackage Image


Can't read the image? click here to refresh.
    *required field

Your bulk quote request has been submitted successfully!

Please contact us if you have any questions.