• Tel: 858.663.9055
  • SeparatorEmail: info@nsjbio.com
  • Tel: 858.663.9055
  • Email: info@nsjbio.com
Home >> Antibodies >> CBX3 Antibody / HP1 gamma

CBX3 Antibody / HP1 gamma (RQ4075)

  Catalog No Formulation Size Price (USD)  
Image RQ4075 0.5mg/ml if reconstituted with 0.2ml sterile DI water 100 ug 439
Bulk quote request
Western blot testing of human 1) HeLa, 2) MCF7, 3) COLO320, 4) HepG2, 5) placenta, 6) A549, 7) SKOV3, and 8) PANC-1 cell lysate with CBX3 antibody at 0.5ug/ml. Predicted molecular weight ~21 kDa.
Western blot testing of rat 1) brain, 2) spleen, 3) testis, 4) PC-12 and mouse 5) brain, 6) spleen, 7) testis, 8) HEPA1-6 and 9) NIH3T3 lysate with CBX3 antibody at 0.5ug/ml. Predicted molecular weight ~21 kDa.
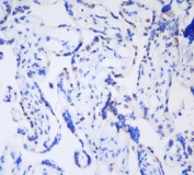
IHC testing of FFPE human breast cancer tissue with CBX3 antibody at 1ug/ml. Required HIER: steam section in pH6 citrate buffer for 20 min and allow to cool prior to testing.
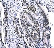
IHC testing of FFPE human rectal cancer tissue with CBX3 antibody at 1ug/ml. Required HIER: steam section in pH6 citrate buffer for 20 min and allow to cool prior to testing.
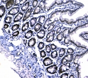
IHC testing of FFPE mouse small intestine tissue with CBX3 antibody at 1ug/ml. Required HIER: steam section in pH6 citrate buffer for 20 min and allow to cool prior to testing.
IHC testing of FFPE rat small intestine tissue with CBX3 antibody at 1ug/ml. Required HIER: steam section in pH6 citrate buffer for 20 min and allow to cool prior to testing.
Immunofluorescent staining of FFPE human U-2 OS cells with CBX3 antibody (green) and DAPI (blue). HIER: boil tissue sections in pH6, 10mM citrate buffer, for 20 min and allow to cool before testing.
Flow cytometry testing of human A431 cells with CBX3 antibody at 1ug/million cells (blocked with goat sera); Red=cells alone, Green=isotype control, Blue= CBX3 antibody.
IHC testing of frozen human placental tissue with CBX3 antibody at 1ug/ml.
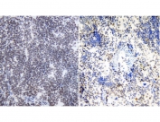
IHC testing of frozen mouse (left) and rat (right) spleen tissue with CBX3 antibody at 1ug/ml.
Availability 1-3 business days
Species Reactivity Human, Mouse, Rat
Format Antigen affinity purified
Clonality Polyclonal (rabbit origin)
Isotype Rabbit IgG
Purity Antigen affinity purified
Buffer Lyophilized from 1X PBS with 2% Trehalose and 0.025% sodium azide
UniProt Q13185
Localization Nuclear
Applications Western Blot : 0.5-1ug/ml
IHC (FFPE & Frozen) : 1-2ug/ml
Immunofluorescence : 2-4ug/ml
Flow Cytometry : 1-3ug/million cells
Direct ELISA : 0.1-0.5ug/ml
Limitations This CBX3 antibody is available for research use only.
Review this product on BioCompare and get a $20 Amazon gift card

Related Products

Description

Chromobox protein homolog 3 is a protein that is encoded by the CBX3 gene in humans. At the nuclear envelope, the nuclear lamina and heterochromatin are adjacent to the inner nuclear membrane. The protein encoded by this gene binds DNA and is a component of heterochromatin. This protein also can bind lamin B receptor, an integral membrane protein found in the inner nuclear membrane. The dual binding functions of the encoded protein may explain the association of heterochromatin with the inner nuclear membrane. This protein binds histone H3 tails methylated at Lys-9 sites. This protein is also recruited to sites of ultraviolet-induced DNA damage and double-strand breaks. Two transcript variants encoding the same protein but differing in the 5' UTR, have been found for this gene.

Application Notes

Optimal dilution of the CBX3 antibody should be determined by the researcher.

Immunogen

A recombinant human partial protein corresponding to amino acids A2-Q183 was used as the immunogen for the CBX3 antibody.

Storage

After reconstitution, the CBX3 antibody can be stored for up to one month at 4oC. For long-term, aliquot and store at -20oC. Avoid repeated freezing and thawing.

Cross
Bulk Quote Request Form
Name*:
Organization*:
Email*:
Phone Number*:
Catalog No.*:
Comments and Specifics(amount, formulation, etc.)*:
Validation code: Captchapackage Image


Can't read the image? click here to refresh.
    *required field

Your bulk quote request has been submitted successfully!

Please contact us if you have any questions.