• Tel: 858.663.9055
  • SeparatorEmail: info@nsjbio.com
  • Tel: 858.663.9055
  • Email: info@nsjbio.com
Home >> Antibodies >> CBS Antibody / Cystathionine Beta Synthase

CBS Antibody / Cystathionine Beta Synthase (R30143)

  Catalog No Formulation Size Price (USD)  
Image R30143 0.5mg/ml if reconstituted with 0.2ml sterile DI water 100 ug 439
Bulk quote request
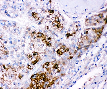
IHC staining of FFPE human liver cancer tissue with CBS antibody. HIER: boil tissue sections in pH8 EDTA for 20 min and allow to cool before testing.
Western blot testing of 1) human HeLa, 2) human 293T, 3) human K562, 4) rat liver, 5) rat pancreas, 6) mouse liver and 7) mouse pancreas tissue lysate with CBS antibody. Predicted molecular weight ~61 kDa.
Availability 1-3 business days
Species Reactivity Human, Mouse, Rat
Format Antigen affinity purified
Clonality Polyclonal (rabbit origin)
Isotype Rabbit IgG
Purity Antigen affinity
Buffer Lyophilized from 1X PBS with 2.5% BSA and 0.025% sodium azide
Gene ID 875
Localization Nuclear, cytoplasmic
Applications Western Blot : 0.5-1ug/ml
Immunohistochemistry (FFPE) : 0.5-1ug/ml
Limitations This CBS antibody is available for research use only.
Review this product on BioCompare and get a $20 Amazon gift card

Related Products

Description

Cystathionine-beta-synthase is an enzyme that in humans is encoded by the CBS gene. It is mapped to 21q22.3 and contains 23 exons, ranging in size from 42 to 299 bp. CBS catalyzes the first step of the transsulfuration pathway, from homocysteine to cystathionine. It uses the cofactor pyridoxal-phosphate (PLP) and can be allosterically regulated by effectors such as the ubiquitous cofactor S-adenosyl-L-methionine (adoMet). This enzyme belongs to the family of lyases, to be specific, the hydro-lyases, which cleave carbon-oxygen bonds. It is a multidomain enzyme composed of an N-terminal enzymatic domain and two CBS domains. The gene is the most common locus for mutations associated with homocystinuria.

Application Notes

The stated application concentrations are suggested starting points. Titration of the CBS antibody may be required due to differences in protocols and secondary/substrate sensitivity.

Immunogen

Human partial recombinant protein (AA 331-551) was used as the immunogen for this CBS antibody.

Storage

After reconstitution, the CBS antibody can be stored for up to one month at 4oC. For long-term, aliquot and store at -20oC. Avoid repeated freezing and thawing.

Cross
Bulk Quote Request Form
Name*:
Organization*:
Email*:
Phone Number*:
Catalog No.*:
Comments and Specifics(amount, formulation, etc.)*:
Validation code: Captchapackage Image


Can't read the image? click here to refresh.
    *required field

Your bulk quote request has been submitted successfully!

Please contact us if you have any questions.