• Tel: 858.663.9055
  • SeparatorEmail: info@nsjbio.com
  • Tel: 858.663.9055
  • Email: info@nsjbio.com
Home >> Antibodies >> CBR1 Antibody

CBR1 Antibody (R34191)

  Catalog No Formulation Size Price (USD)  
Image R34191-100UG 0.5 mg/ml in 1X TBS, pH7.3, with 0.5% BSA (US sourced) and 0.02% sodium azide 100 ug 449
Bulk quote request
Western blot testing of human liver lysate with CBR1 antibody at 0.2ug/ml. Predicted molecular weight: ~30kDa.
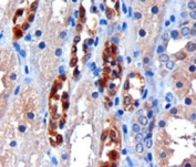
IHC staining of FFPE human kidney with CBR1 antibody at 3ug/ml. HIER: microwaved with pH6 citrate buffer, HRP-staining.
Availability 1-3 business days
Species Reactivity Human
Format Antigen affinity purified
Clonality Polyclonal (goat origin)
Isotype Goat Ig
Purity Antigen affinity
Gene ID 873
Applications Western Blot : 0.1-0.3ug/ml
Immunohistochemistry (FFPE) : 1-2ug/ml
ELISA (peptide) LOD : 1:8000
Limitations This CBR1 antibody is available for research use only.
Review this product on BioCompare and get a $20 Amazon gift card

Related Products

Description

Additional name(s) for this target protein: Carbonyl reductase 1

Application Notes

Optimal dilution of the CBR1 antibody should be determined by the researcher.

Immunogen

Amino acids HGQFVSEKRVEQW were used as the immunogen for this CBR1 antibody.

Storage

Aliquot and store the CBR1 antibody at -20oC.

Cross
Bulk Quote Request Form
Name*:
Organization*:
Email*:
Phone Number*:
Catalog No.*:
Comments and Specifics(amount, formulation, etc.)*:
Validation code: Captchapackage Image


Can't read the image? click here to refresh.
    *required field

Your bulk quote request has been submitted successfully!

Please contact us if you have any questions.