• Tel: 858.663.9055
  • SeparatorEmail: info@nsjbio.com
  • Tel: 858.663.9055
  • Email: info@nsjbio.com
Home >> Antibodies >> CBG Antibody Cortisol Binding Globulin

CBG Antibody Cortisol Binding Globulin (R31354)

  Catalog No Formulation Size Price (USD)  
Image R31354 0.5mg/ml if reconstituted with 0.2ml sterile DI water 100 ug 439
Bulk quote request
Western blot testing of CBG antibody and Lane 1: HeLa; 2: A431; 3: U87; 4: 22RV1; 5: PANC cell lysate. Expected/observed size ~45KD
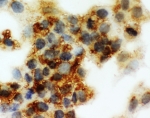
ICC testing of CBG antibody and HEPG2 cells
Availability 1-3 business days
Species Reactivity Human
Format Antigen affinity purified
Clonality Polyclonal (rabbit origin)
Isotype Rabbit IgG
Purity Antigen affinity
Buffer Lyophilized from 1X PBS with 2.5% BSA and 0.025% sodium azide/thimerosal
UniProt P08185
Applications Western Blot : 0.5-1ug/ml
IHC (FFPE) : 0.5-1ug/ml
Immunocytochemistry : 0.5-1ug/ml
Limitations This CBG antibody is available for research use only.
Review this product on BioCompare and get a $20 Amazon gift card

Related Products

Description

Corticosteroid-binding globulin (CBG), also known as Serpin A6 is a protein that in humans is encoded by the SERPINA6 gene. It is mapped 14q32.13. This gene encodes an alpha-globulin protein with corticosteroid-binding properties. CBG is the major transport protein for glucorticoids and progestins in the blood of most vertebrates. The gene localizes to a chromosomal region containing several closely related serine protease inhibitors which may have evolved by duplication events.

Application Notes

The stated application concentrations are suggested starting amounts. Titration of the CBG antibody may be required due to differences in protocols and secondary/substrate sensitivity.

Immunogen

An amino acid sequence from the N-terminus of human Cortisol Binding Globulin (ETEIHQGFQHLHQLFAKSD) was used as the immunogen for this CBG antibody.

Storage

After reconstitution, the CBG antibody can be stored for up to one month at 4oC. For long-term, aliquot and store at -20oC. Avoid repeated freezing and thawing.

Cross
Bulk Quote Request Form
Name*:
Organization*:
Email*:
Phone Number*:
Catalog No.*:
Comments and Specifics(amount, formulation, etc.)*:
Validation code: Captchapackage Image


Can't read the image? click here to refresh.
    *required field

Your bulk quote request has been submitted successfully!

Please contact us if you have any questions.