• Tel: 858.663.9055
  • SeparatorEmail: info@nsjbio.com
  • Tel: 858.663.9055
  • Email: info@nsjbio.com
Home >> Antibodies >> CBARA1 Antibody / MICU1

CBARA1 Antibody / MICU1 (R34047)

  Catalog No Formulation Size Price (USD)  
Image R34047-100UG 0.5 mg/ml in 1X TBS, pH7.3, with 0.5% BSA (US sourced) and 0.02% sodium azide 100 ug 449
Bulk quote request
Western blot testing of K562 lysate with CBARA1 antibody at 0.5ug/ml. Predicted molecular weight: ~55 kDa. Both observed bands are blocked with addition of the immunizing peptide.
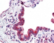
IHC testing of FFPE human lung tissue with CBARA1 antibody at 3.75ug/ml. Required HIER: steamed antigen retrieval with pH6 citrate buffer; AP-staining.
Availability 1-3 business days
Species Reactivity Human
Predicted Reactivity Mouse, Rat, Dog, Pig, Cow
Format Antigen affinity purified
Clonality Polyclonal (goat origin)
Isotype Goat Ig
Purity Antigen affinity
Gene ID 10367
Localization Cytoplasmic
Applications Western Blot : 0.5-2ug/ml
IHC (FFPE) : 3.75ug/ml
ELISA (peptide) LOD : 1:32000
Limitations This CBARA1 antibody is available for research use only.
Review this product on BioCompare and get a $20 Amazon gift card

Description

Additional name(s) for this target protein: Calcium binding atopy-related autoantigen 1; MICU1; Mitochondrial calcium uptake 1

Application Notes

Optimal dilution of the CBARA1 antibody should be determined by the researcher.

1. This CBARA1 antibody will detect isoforms 1 and 2 of the protein.

Immunogen

Amino acids EYENRIRAYSTPDK were used as the immunogen for this CBARA1 antibody.

Storage

Aliquot and store the CBARA1 antibody at -20oC.

Cross
Bulk Quote Request Form
Name*:
Organization*:
Email*:
Phone Number*:
Catalog No.*:
Comments and Specifics(amount, formulation, etc.)*:
Validation code: Captchapackage Image


Can't read the image? click here to refresh.
    *required field

Your bulk quote request has been submitted successfully!

Please contact us if you have any questions.