• Tel: 858.663.9055
  • SeparatorEmail: info@nsjbio.com
  • Tel: 858.663.9055
  • Email: info@nsjbio.com
Home >> Antibodies >> Caveolin-2 Antibody

Caveolin-2 Antibody (R31584)

  Catalog No Formulation Size Price (USD)  
Image R31584 0.5mg/ml if reconstituted with 0.2ml sterile DI water 100 ug 439
Bulk quote request
Immunofluorescent staining of FFPE rectal cancer with Caveolin-2 antibody (red) and DAPI nuclear stain (blue). HIER: steam section in pH8 EDTA for 20 min.
Immunofluorescent staining of FFPE human A549 cells with Caveolin-2 antibody (green) and DAPI nuclear stain (blue). HIER: steam section in pH6 citrate buffer for 20 min.
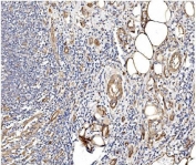
IHC staining of FFPE human rectal cancer with Caveolin-2 antibody. HIER: boil tissue sections in pH8 EDTA for 20 min and allow to cool before testing.
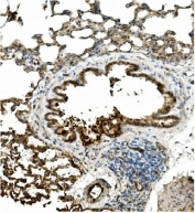
IHC staining of FFPE rat lung with Caveolin-2 antibody. HIER: boil tissue sections in pH8 EDTA for 20 min and allow to cool before testing.
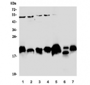
Western blot testing testing of human 1) HT1080, 2) U-2 OS, 3) Caco-2, 4) HeLa, 5) A549, 6) rat lung and 7) mouse lung lysate with Caveolin-2 antibody. Predicted molecular weight ~18 kDa.
Western blot testing of Caveolin-2 antibody and recombinant human protein (0.5ng).
Flow cytometry testing of human A549 cells with Caveolin-2 antibody at 1ug/million cells (blocked with goat sera); Red=cells alone, Green=isotype control, Blue= Caveolin-2 antibody.
Availability 1-3 business days
Species Reactivity Human, Mouse, Rat
Format Antigen affinity purified
Clonality Polyclonal (rabbit origin)
Isotype Rabbit IgG
Purity Antigen affinity
Buffer Lyophilized from 1X PBS with 2.5% BSA and 0.025% sodium azide
Gene ID 858
Localization Cytoplasmic, nuclear
Applications Western Blot : 0.5-1ug/ml
Immunohistochemistry (FFPE) : 0.5-1ug/ml
Flow Cytometry : 1-3ug/10^6 cells
Immunofluorescence : 2-4ug/ml
Limitations This Caveolin-2 antibody is available for research use only.
Review this product on BioCompare and get a $20 Amazon gift card

Related Products

  • Applications : WB, IHC-P
    Reactivity : Human, Mouse, Rat
  • Applications : WB, IHC-P, IF, FACS, Direct ELISA
    Reactivity : Human, Mouse, Rat, Monkey
  • Applications : WB, IF, FACS, IHC-P
    Reactivity : Human

Description

Caveolin-2 is a protein that in humans is encoded by the CAV2 gene. It is mapped to 7q31.1-q31.2. The protein encoded by this gene is a major component of the inner surface of caveolae, small invaginations of the plasma membrane, and is involved in essential cellular functions, including signal transduction, lipid metabolism, cellular growth control and apoptosis. This protein may function as a tumor suppressor. Caveolin-2 is a protein related to caveolin-1 which is derived caveolin-enriched membranes. CAV2 and CAV1 are similar in most respects and they differ in their functional interactions with heterotrimeric G proteins. Both of them are expressed in neuronal cells. CAV2 was upregulated in response to neuronal cell injury.

Application Notes

Titration of the Caveolin-2 antibody may be required due to differences in protocols and secondary/substrate sensitivity.

Immunogen

Human partial recombinant protein (AA 1-162) was used as the immunogen for this Caveolin-2 antibody.

Storage

The lyophilized Caveolin-2 antibody can be stored at 4oC to -20oC. After reconstitution, aliquot and store at -20oC. Avoid repeated freezing and thawing.

Cross
Bulk Quote Request Form
Name*:
Organization*:
Email*:
Phone Number*:
Catalog No.*:
Comments and Specifics(amount, formulation, etc.)*:
Validation code: Captchapackage Image


Can't read the image? click here to refresh.
    *required field

Your bulk quote request has been submitted successfully!

Please contact us if you have any questions.