• Tel: 858.663.9055
  • SeparatorEmail: info@nsjbio.com
  • Tel: 858.663.9055
  • Email: info@nsjbio.com
Home >> Antibodies >> Caveolin-1 Antibody

Caveolin-1 Antibody (R31583)

  Catalog No Formulation Size Price (USD)  
Image R31583 0.5mg/ml if reconstituted with 0.2ml sterile DI water 100 ug 439
Bulk quote request
Immunofluorescent staining of FFPE human glioma tissue with Calveolin-1 antibody (red) and DAPI nuclear counterstain (blue). HIER: boil tissue sections in pH6, 10mM citrate buffer, for 10-20 min followed by cooling at RT for 20 min.
Immunofluorescent staining of FFPE human glioma tissue with Calveolin-1 antibody (red) and DAPI nuclear counterstain (blue). HIER: boil tissue sections in pH8 EDTA buffer for 10-20 min followed by cooling at RT for 20 min.
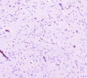
IHC staining of FFPE human glioma tissue with Caveolin-1 antibody. HIER: boil tissue sections in pH8 EDTA for 20 min and allow to cool before testing.
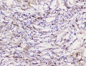
IHC staining of FFPE human meningioma tissue with Caveolin-1 antibody. HIER: boil tissue sections in pH8 EDTA for 20 min and allow to cool before testing.
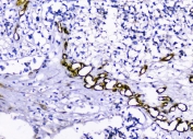
IHC staining of FFPE mouse brain tissue with Caveolin-1 antibody. HIER: boil tissue sections in pH8 EDTA for 20 min and allow to cool before testing.
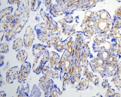
IHC staining of frozen human placental tissue with Caveolin-1 antibody.
Western blot testing of 1) human HeLa, 2) human A549, 3) human placenta, 4) human A431, 5) human HL60, 6) rat ovary, 7) rat heart, 8) mouse ovary and 9) mouse heart tissue lysate with Caveolin-1 antibody. Predicted molecular weight ~21 kDa.
Flow cytometry testing of fixed and permeabilized human U-87 MG cells with Caveolin-1 antibody at 1ug/10^6 cells (blocked with goat sera); Red=cells alone, Green=isotype control, Blue= Caveolin-1 antibody.
Availability 1-3 business days
Species Reactivity Human, Mouse, Rat
Format Antigen affinity purified
Clonality Polyclonal (rabbit origin)
Isotype Rabbit IgG
Purity Antigen affinity
Buffer Lyophilized from 1X PBS with 2% Trehalose and 0.025% sodium azide
UniProt Q03135
Applications Western Blot : 0.5-1ug/ml
Immunohistochemistry (FFPE) : 2-5ug/ml
Immunohistochemistry (Frozen) : 2-5ug/ml
Immunofluorescence (FFPE) : 5ug/ml
Flow Cytometry : 1-3ug/million cells
Limitations This Caveolin-1 antibody is available for research use only.
Review this product on BioCompare and get a $20 Amazon gift card

Related Products

Description

Caveolin-1 is a protein that in humans is encoded by the CAV1 gene. The CAV1 gene is mapped to 7q31.2. The scaffolding protein encoded by this gene is the main component of the caveolae plasma membranes found in most cell types. The protein links integrin subunits to the tyrosine kinase FYN, an initiating step in coupling integrins to the Ras-ERK pathway and promoting cell cycle progression. The gene is a tumor suppressor gene candidate and a negative regulator of the Ras-p42/44 MAP kinase cascade. CAV1 and CAV2 are located next to each other on chromosome 7 and express colocalizing proteins that form a stable hetero-oligomeric complex. By using alternative initiation codons in the same reading frame, two isoforms(alpha and beta) are encoded by a single transcript from this gene.

Application Notes

The stated application concentrations are suggested starting points. Titration of the Caveolin-1 antibody may be required due to differences in protocols and secondary/substrate sensitivity.

Immunogen

Human partial recombinant protein (AA 4-178) was used as the immunogen for this Caveolin-1 antibody.

Storage

After reconstitution, the Caveolin-1 antibody can be stored for up to one month at 4oC. For long-term, aliquot and store at -20oC. Avoid repeated freezing and thawing.

Cross
Bulk Quote Request Form
Name*:
Organization*:
Email*:
Phone Number*:
Catalog No.*:
Comments and Specifics(amount, formulation, etc.)*:
Validation code: Captchapackage Image


Can't read the image? click here to refresh.
    *required field

Your bulk quote request has been submitted successfully!

Please contact us if you have any questions.