• Tel: 858.663.9055
  • SeparatorEmail: info@nsjbio.com
  • Tel: 858.663.9055
  • Email: info@nsjbio.com
Home >> Antibodies >> Caveolin-1 Antibody

Caveolin-1 Antibody (R30587)

  Catalog No Formulation Size Price (USD)  
Image R30587 0.5mg/ml if reconstituted with 0.2ml sterile DI water 100 ug 439
Bulk quote request
Western blot testing of Caveolin-1 antibody and Lane 1: U87; 2: HeLa; 3: MCF-7; 4: A549; 5: HT1080 cell lysate. Predicted molecular weight ~21/17kDa (alpha/beta isoforms)
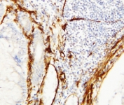
IHC-P: Caveolin-1 antibody testing of human breast cancer tissue
Availability 1-3 business days
Species Reactivity Human, Mouse, Rat
Format Antigen affinity purified
Clonality Polyclonal (rabbit origin)
Isotype Rabbit IgG
Purity Antigen affinity
Buffer Lyophilized from 1X PBS with 2.5% BSA and 0.025% sodium azide/thimerosal
UniProt Q03135
Applications Western Blot : 0.5-1ug/ml
IHC (FFPE) : 0.5-1ug/ml
IHC (Frozen) : 0.5-1ug/ml
Immunocytochemistry : 0.5-1ug/ml
Limitations This Caveolin-1 antibody is available for research use only.
Review this product on BioCompare and get a $20 Amazon gift card

Related Products

Description

CAV1, Caveolin-1, is a protein that in humans is encoded by the CAV1 gene. The CAV1 gene is mapped to 7q31.2. The scaffolding protein encoded by this gene is the main component of the caveolae plasma membranes found in most cell types. The protein links integrin subunits to the tyrosine kinase FYN, an initiating step in coupling integrins to the Ras-ERK pathway and promoting cell cycle progression. The gene is a tumor suppressor gene candidate and a negative regulator of the Ras-p42/44 MAP kinase cascade. CAV1 and CAV2 are located next to each other on chromosome 7 and express colocalizing proteins that form a stable hetero-oligomeric complex. By using alternative initiation codons in the same reading frame, two isoforms(alpha and beta) are encoded by a single transcript from this gene.

Application Notes

The stated application concentrations are suggested starting points. Titration of the Caveolin-1 antibody may be required due to differences in protocols and secondary/substrate sensitivity.

Immunogen

An amino acid sequence from the C-terminus of the human protein (GKIFSNVRINLQKEI) was used as the immunogen for this Caveolin-1 antibody.

Storage

After reconstitution, the Caveolin-1 antibody can be stored for up to one month at 4oC. For long-term, aliquot and store at -20oC. Avoid repeated freezing and thawing.

Cross
Bulk Quote Request Form
Name*:
Organization*:
Email*:
Phone Number*:
Catalog No.*:
Comments and Specifics(amount, formulation, etc.)*:
Validation code: Captchapackage Image


Can't read the image? click here to refresh.
    *required field

Your bulk quote request has been submitted successfully!

Please contact us if you have any questions.