• Tel: 858.663.9055
  • SeparatorEmail: info@nsjbio.com
  • Tel: 858.663.9055
  • Email: info@nsjbio.com
Home >> Antibodies >> CAV3 Antibody / Caveolin-3

CAV3 Antibody / Caveolin-3 (R33801)

  Catalog No Formulation Size Price (USD)  
Image R33801-100UG 0.5 mg/ml in 1X TBS, pH7.3, with 0.5% BSA (US sourced) and 0.02% sodium azide 100 ug 449
Bulk quote request
Western blot testing of human heart lysate with CAV3 antibody at 0.3ug/ml. Predicted molecular weight: ~17 kDa but routinely observed at 20~25 kDa.
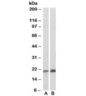
Western blot of mouse (A) and rat (B) heart lysates with CAV3 antibody at 0.3ug/ml. Predicted molecular weight: ~17kDa but routinely observed at 20~25kDa.
Western blot of pig skeletal muscle (A) and heart (B) lysates with CAV3 antibody at 0.1ug/ml. Predicted molecular weight: ~17kDa but routinely observed at 20~25kDa.
IHC staining of FFPE human skeletal muscle with CAV3 antibody at 3.8ug/ml. HIER: steamed with pH6 citrate buffer, AP-staining.
Availability 1-3 business days
Species Reactivity Human, Mouse, Rat, Pig
Predicted Reactivity Dog
Format Antigen affinity purified
Clonality Polyclonal (goat origin)
Isotype Goat Ig
Purity Antigen affinity
Gene ID 859
Applications Western Blot : 0.3-1ug/ml
Immunohistochemistry (FFPE) : 3-5ug/ml
ELISA (peptide) LOD : 1:4000
Limitations This CAV3 antibody is available for research use only.
Review this product on BioCompare and get a $20 Amazon gift card

Related Products

  • Applications : WB, IHC-P, Direct ELISA
    Reactivity : Human, Mouse, Rat
  • Applications : WB, IHC-P, FACS
    Reactivity : Human

Description

Additional name(s) for this target protein: Caveolin 3

Application Notes

Optimal dilution of the CAV3 antibody should be determined by the researcher.

Immunogen

Amino acids EHTDLEAQIVKDIH were used as the immunogen for this CAV3 antibody.

Storage

Aliquot and store the CAV3 antibody at -20oC.

Cross
Bulk Quote Request Form
Name*:
Organization*:
Email*:
Phone Number*:
Catalog No.*:
Comments and Specifics(amount, formulation, etc.)*:
Validation code: Captchapackage Image


Can't read the image? click here to refresh.
    *required field

Your bulk quote request has been submitted successfully!

Please contact us if you have any questions.