• Tel: 858.663.9055
  • SeparatorEmail: info@nsjbio.com
  • Tel: 858.663.9055
  • Email: info@nsjbio.com
Home >> Antibodies >> CAV2 Antibody / Caveolin-2

CAV2 Antibody / Caveolin-2 (RQ5696)

  Catalog No Formulation Size Price (USD)  
Image RQ5696 0.5mg/ml if reconstituted with 0.2ml sterile DI water 100 ug 439
Bulk quote request
Immunofluorescent staining of FFPE human A549 cells with CAV2 antibody (green) and DAPI nuclear stain (blue). HIER: steam section in pH6 citrate buffer for 20 min.
Immunofluorescent staining of FFPE human intestinal cancer with CAV2 antibody (red) and DAPI nuclear stain (blue). HIER: steam section in pH8 EDTA buffer for 20 min.
IHC staining of FFPE human rectal cancer with CAV2 antibody. HIER: boil tissue sections in pH8 EDTA for 20 min and allow to cool before testing.
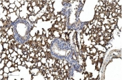
IHC staining of FFPE mouse lung with CAV2 antibody. HIER: boil tissue sections in pH8 EDTA for 20 min and allow to cool before testing.
IHC staining of FFPE rat lung with CAV2 antibody. HIER: boil tissue sections in pH8 EDTA for 20 min and allow to cool before testing.
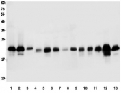
Western blot testing of human 1) HeLa, 2) A549, 3) U-2 OS, 4) K562, 5) HT1080, 6) Caco-2, 7) HEK293, 8) monkey COS-7, 9) rat skeletal muscle, 10) rat heart, 11) mouse skeletal muscle, 12) mouse heart and 13) mouse NIH 3T3 lysate with CAV2 antibody. Predicted molecular weight ~18 kDa.
Flow cytometry testing of human A549 cells with CAV2 antibody at 1ug/million cells (blocked with goat sera); Red=cells alone, Green=isotype control, Blue= CAV2 antibody.
Availability 1-3 business days
Species Reactivity Human, Mouse, Rat, Monkey
Format Antigen affinity purified
Clonality Polyclonal
Isotype Rabbit IgG
Purity Affinity purified
Buffer Lyophilized from 1X PBS with 2% Trehalose and 0.025% sodium azide
UniProt P51636
Localization Cytoplasmic, nuclear
Applications Western Blot : 0.5-1ug/ml
Immunohistochemistry : 1-2ug/ml
Immunofluorescence : 2-4ug/ml
Flow Cytometry : 1-3ug/million cells
Direct ELISA : 0.1-0.5ug/ml
Limitations This CAV2 antibody is available for research use only.
Review this product on BioCompare and get a $20 Amazon gift card

Related Products

  • Applications : WB, IHC-P
    Reactivity : Human, Mouse, Rat
  • Applications : WB, IHC-P, FACS, IF
    Reactivity : Human, Mouse, Rat
  • Applications : WB, IF, FACS, IHC-P
    Reactivity : Human

Description

Caveolin-2 is a protein that in humans is encoded by the CAV2 gene. It is mapped to 7q31.1-q31.2. The protein encoded by this gene is a major component of the inner surface of caveolae, small invaginations of the plasma membrane, and is involved in essential cellular functions, including signal transduction, lipid metabolism, cellular growth control and apoptosis. This protein may function as a tumor suppressor. Caveolin-2 is a protein related to caveolin-1 which is derived caveolin-enriched membranes. CAV2 and CAV1 are similar in most respects and they differ in their functional interactions with heterotrimeric G proteins. Both of them are expressed in neuronal cells. Caveolin-2 was upregulated in response to neuronal cell injury.

Application Notes

Optimal dilution of the CAV2 antibody should be determined by the researcher.

Immunogen

Recombinant human protein (amino acids L3-D162) was used as the immunogen for the CAV2 antibody.

Storage

After reconstitution, the CAV2 antibody can be stored for up to one month at 4oC. For long-term, aliquot and store at -20oC. Avoid repeated freezing and thawing.

Cross
Bulk Quote Request Form
Name*:
Organization*:
Email*:
Phone Number*:
Catalog No.*:
Comments and Specifics(amount, formulation, etc.)*:
Validation code: Captchapackage Image


Can't read the image? click here to refresh.
    *required field

Your bulk quote request has been submitted successfully!

Please contact us if you have any questions.