• Tel: 858.663.9055
  • SeparatorEmail: info@nsjbio.com
  • Tel: 858.663.9055
  • Email: info@nsjbio.com
Home >> Antibodies >> Caudal type homeobox transcription factor 2 Antibody / CDX2

Caudal type homeobox transcription factor 2 Antibody / CDX2 [clone CDX2/9338] (V5646)

  Catalog No Formulation Size Price (USD)  
Image V5646-100UG 0.2 mg/ml in 1X PBS with 0.1 mg/ml BSA (US sourced), 0.05% sodium azide 100 ug 539
Image
V5646-20UG 0.2 mg/ml in 1X PBS with 0.1 mg/ml BSA (US sourced), 0.05% sodium azide 20 ug 249
Image
V5646SAF-100UG 1 mg/ml in 1X PBS; BSA free, sodium azide free 100 ug 539
Bulk quote request
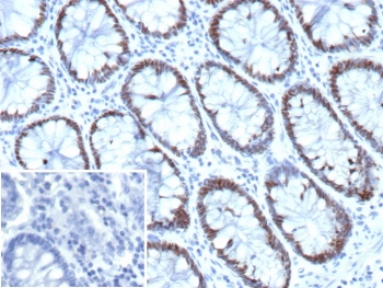
IHC staining of FFPE human colon tissue with Caudal type homeobox transcription factor 2 antibody (clone CDX2/9338). Inset: PBS used in place of primary Ab (secondary Ab negative control). HIER: boil tissue sections in pH 9 10mM Tris with 1mM EDTA for 20 min and allow to cool before testing.
SDS-PAGE analysis of purified, BSA-free Caudal type homeobox transcription factor 2 antibody (clone CDX2/9338) as confirmation of integrity and purity.
Availability 1-3 business days
Species Reactivity Human
Format Purified
Clonality Monoclonal (mouse origin)
Isotype Mouse IgG1, kappa
Clone Name CDX2/9338
Purity Protein G affinity
UniProt Q99626
Localization Nucleus
Applications Immunohistochemistry (FFPE) : 1-2ug/ml
Limitations This Caudal type homeobox transcription factor 2 antibody is available for research use only.
Review this product on BioCompare and get a $20 Amazon gift card

Related Products

Description

Caudal type homeobox transcription factor 2 antibody detects CDX2, a nuclear transcription factor encoded by the CDX2 gene. CDX2 plays a central role in intestinal development and epithelial differentiation, where it directs expression of genes required for cell polarity, adhesion, and digestive function. Because CDX2 is strongly expressed in gastrointestinal epithelium and associated tumors, Caudal type homeobox transcription factor 2 antibody has become an essential marker in pathology, developmental biology, and oncology.

CDX2 belongs to the caudal-related homeobox family of transcription factors, containing a highly conserved DNA-binding homeodomain. By binding to cis-regulatory regions, CDX2 activates genes that promote intestinal identity, villus formation, and epithelial maintenance. Its expression is tightly regulated during embryogenesis, appearing early in posterior gut development. In adults, CDX2 continues to maintain intestinal epithelial function, highlighting its lifelong significance.

The Caudal type homeobox transcription factor 2 antibody clone CDX2/9338 provides reliable and specific detection. Clone CDX2/9338 has been cited in peer-reviewed publications addressing gastrointestinal tumor classification and developmental regulation of the intestine. Its reproducibility makes it a valuable reagent for diagnostic and research purposes. In pathology, CDX2 detection helps determine the origin of metastatic adenocarcinomas, where intestinal tumors show strong nuclear positivity while other carcinomas do not.

Research using clone CDX2/9338 has shown that loss of CDX2 expression in colorectal cancer correlates with poor prognosis and aggressive features. Beyond oncology, studies have used this antibody to explore transcriptional networks governing intestinal differentiation and epithelial plasticity. Because CDX2 functions as both a lineage marker and a regulator of cell identity, its detection informs research in normal development, disease, and regenerative medicine.

NSJ Bioreagents provides this Caudal type homeobox transcription factor 2 antibody to support oncology, pathology, and developmental biology. Alternate names include CDX2 antibody, caudal related homeobox protein 2 antibody, intestinal transcription factor antibody, homeobox protein CDX2 antibody, and gastrointestinal lineage marker antibody.

Application Notes

Optimal dilution of the Caudal type homeobox transcription factor 2 antibody should be determined by the researcher.

Immunogen

A portion of amino acids 150-249 from human CDX2 protein was used as the immunogen for the Caudal type homeobox transcription factor 2 antibody.

Storage

Aliquot the Caudal type homeobox transcription factor 2 antibody and store frozen at -20oC or colder. Avoid repeated freeze-thaw cycles.

Cross
Bulk Quote Request Form
Name*:
Organization*:
Email*:
Phone Number*:
Catalog No.*:
Comments and Specifics(amount, formulation, etc.)*:
Validation code: Captchapackage Image


Can't read the image? click here to refresh.
    *required field

Your bulk quote request has been submitted successfully!

Please contact us if you have any questions.