• Tel: 858.663.9055
  • SeparatorEmail: info@nsjbio.com
  • Tel: 858.663.9055
  • Email: info@nsjbio.com
Home >> Antibodies >> Cathepsin G Antibody / CTSG

Cathepsin G Antibody / CTSG (R32521)

  Catalog No Formulation Size Price (USD)  
Image R32521 0.5mg/ml if reconstituted with 0.2ml sterile DI water 100 ug 439
Bulk quote request
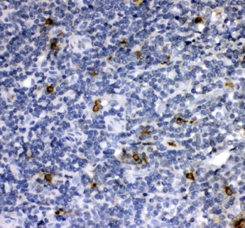
IHC staining of FFPE human tonsil tissue with Cathepsin G antibody. HIER: boil tissue sections in pH8 EDTA for 20 min and allow to cool before testing.
Western blot testing of human 1) ThP-1 and 2) MCF7 cell lysate with Cathepsin G antibody at 0.5ug/ml. Predicted molecular weight ~29 kDa, can be observed at ~36 kDa.
Availability 1-3 business days
Species Reactivity Human
Format Antigen affinity purified
Clonality Polyclonal (rabbit origin)
Isotype Rabbit IgG
Purity Antigen affinity
Buffer Lyophilized from 1X PBS with 2% Trehalose
UniProt P08311
Localization Cytoplasmic
Applications Western Blot : 0.5-1ug/ml
Immunohistochemistry (FFPE) : 2-5ug/ml
Limitations This Cathepsin G antibody is available for research use only.
Review this product on BioCompare and get a $20 Amazon gift card

Related Products

Description

Cathepsin G is an enzymatic protein belonging to the peptidase or protease families. In humans, it is coded by the CTSG gene. This gene is mapped to 14q12. In transgenic mice, it was found that human Cathepsin G gene was expressed in early myeloid precursors in a manner coordinate with the expression of the endogenous murine gene in the bone marrow and spleen. The protein encoded by this gene, a member of the peptidase S1 protein family, is found in azurophil granules of neutrophilic polymorphonuclear leukocytes. The encoded protease has a specificity similar to that of chymotrypsin C, and may participate in the killing and digestion of engulfed pathogens, and in connective tissue remodeling at sites of inflammation.

Application Notes

Differences in protocols and secondary/substrate sensitivity may require the Cathepsin G antibody to be titrated for optimal performance.

Immunogen

Amino acids R25-E252 from the human protein were used as the immunogen for the Cathepsin G antibody.

Storage

After reconstitution, the Cathepsin G antibody can be stored for up to one month at 4oC. For long-term, aliquot and store at -20oC. Avoid repeated freezing and thawing.

Cross
Bulk Quote Request Form
Name*:
Organization*:
Email*:
Phone Number*:
Catalog No.*:
Comments and Specifics(amount, formulation, etc.)*:
Validation code: Captchapackage Image


Can't read the image? click here to refresh.
    *required field

Your bulk quote request has been submitted successfully!

Please contact us if you have any questions.