• Tel: 858.663.9055
  • SeparatorEmail: info@nsjbio.com
  • Tel: 858.663.9055
  • Email: info@nsjbio.com
Home >> Antibodies >> Cathepsin D Antibody / CTSD

Cathepsin D Antibody / CTSD (R31904)

  Catalog No Formulation Size Price (USD)  
Image R31904 0.5mg/ml if reconstituted with 0.2ml sterile DI water 100 ug 439
Bulk quote request
Immunofluorescent staining of FFPE human MCF7 cells with Cathepsin D antibody (green) and DAPI nuclear stain (blue). HIER: steam section in pH6 citrate buffer for 20 min.
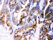
IHC testing of FFPE human intestinal cancer wtih Cathepsin D antibody. HIER: Boil the paraffin sections in pH 6, 10mM citrate buffer for 20 minutes and allow to cool prior to staining.
Western blot testing of human 1) HepG2, 2) A549 and 3) PANC cell lysate with Cathepsin D antibody. Expected molecular weight: 43-46 kDa, 28 kDa (heavy chain), 15 kDa (light chain).
Flow cytometry testing of human SiHa cells with Cathepsin D antibody at 1ug/million cells (blocked with goat sera); Red=cells alone, Green=isotype control, Blue= Cathepsin D antibody.
Availability 1-3 business days
Species Reactivity Human
Format Antigen affinity purified
Clonality Polyclonal (rabbit origin)
Isotype Rabbit IgG
Purity Antigen affinity
Buffer Lyophilized from 1X PBS with 2.5% BSA and 0.025% sodium azide
UniProt P07339
Localization Cytoplasmic
Applications Western Blot : 0.1-0.5ug/ml
Immunohistochemistry (FFPE) : 0.5-1ug/ml
Immunofluorescence (FFPE) : 2-4ug/ml
Flow Cytometry : 1-3ug/million cells
Limitations This Cathepsin D antibody is available for research use only.
Review this product on BioCompare and get a $20 Amazon gift card

Related Products

Description

Cathepsin D is a protein that in humans is encoded by the CTSD gene. This proteinase is a member of the peptidase C1 family, having a specificity similar to but narrower than that of pepsin A. It is mapped to 11p15.5. The cDNA encodes a 412-amino acid protein with 20 and 44 amino acids in a pre- and prosegment, respectively. Cathepsin D is one of the lysosomal proteinases. It is ubiquitously expressed and is involved in proteolytic degradation, cell invasion, and apoptosis. Mutations in this gene are involved in the pathogenesis of several diseases, including breast cancer and possibly Alzheimer disease and it has been considered as a breast cancer tumor marker.

Application Notes

Optimal dilution of the Cathepsin D antibody should be determined by the researcher.

Immunogen

Amino acids 201-412 of human Cathepsin D were used as the immunogen for the Cathepsin D antibody.

Storage

After reconstitution, the Cathepsin D antibody can be stored for up to one month at 4oC. For long-term, aliquot and store at -20oC. Avoid repeated freezing and thawing.

Cross
Bulk Quote Request Form
Name*:
Organization*:
Email*:
Phone Number*:
Catalog No.*:
Comments and Specifics(amount, formulation, etc.)*:
Validation code: Captchapackage Image


Can't read the image? click here to refresh.
    *required field

Your bulk quote request has been submitted successfully!

Please contact us if you have any questions.