• Tel: 858.663.9055
  • SeparatorEmail: info@nsjbio.com
  • Tel: 858.663.9055
  • Email: info@nsjbio.com
Home >> Antibodies >> Catenin Beta Antibody / CTNNB1

Catenin Beta Antibody / CTNNB1 (F54317)

  Catalog No Formulation Size Price (USD)  
Image F54317-0.4ML In 1X PBS, pH 7.4, with 0.09% sodium azide 0.4 ml 429
Image
F54317-0.08ML In 1X PBS, pH 7.4, with 0.09% sodium azide 0.08 ml 199
Bulk quote request
Immunofluorescent staining of fixed and permeabilized human T-47D cells with Catenin Beta antibody (green), DAPI nuclear stain (blue) and anti-Actin (red).
Immunofluorescent staining of fixed and permeabilized human 293 cells with Catenin Beta antibody (green), DAPI nuclear stain (blue) and anti-Actin (red).
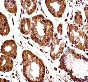
IHC testing of FFPE human stomach tissue with Catenin Beta antibody. HIER: steam section in pH6 citrate buffer for 20 min and allow to cool prior to staining.
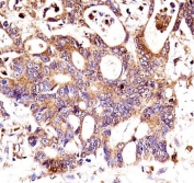
IHC testing of FFPE human colon carcinoma tissue with Catenin Beta antibody. HIER: steam section in pH6 citrate buffer for 20 min and allow to cool prior to staining.
Western blot testing of human 1) 293 and 2) T-47D cell lysate with Catenin Beta antibody. Predicted molecular weight ~85 kDa, but routinely observed at 90-95 kDa.
Flow cytometry testing of fixed and permeabilized human 293 cells with Catenin Beta antibody; Blue=isotype control, Green= Catenin Beta antibody.
Availability 1-3 business days
Species Reactivity Human
Format Purified
Clonality Polyclonal (rabbit origin)
Isotype Rabbit Ig
Purity Antigen affinity purified
UniProt P35222
Applications Western Blot : 1:500-1:2000
Immunohistochemistry (FFPE) : 1:25
Immunofluorescence : 1:25
Flow Cytometry : 1:25 (1x10e6 cells)
Limitations This Catenin Beta antibody is available for research use only.
Review this product on BioCompare and get a $20 Amazon gift card

Related Products

Description

The protein encoded by this gene is part of a complex of proteins that constitute adherens junctions (AJs). AJs are necessary for the creation and maintenance of epithelial cell layers by regulating cell growth and adhesion between cells. The encoded protein also anchors the actin cytoskeleton and may be responsible for transmitting the contact inhibition signal that causes cells to stop dividing once the epithelial sheet is complete. Finally, this protein binds to the product of the APC gene, which is mutated in adenomatous polyposis of the colon. Mutations in this gene are a cause of colorectal cancer (CRC), pilomatrixoma (PTR), medulloblastoma (MDB), and ovarian cancer. Three transcript variants encoding the same protein have been found for this gene.

Application Notes

The stated application concentrations are suggested starting points. Titration of the Catenin Beta antibody may be required due to differences in protocols and secondary/substrate sensitivity.

Immunogen

A portion of amino acids 692-721 from the human protein was used as the immunogen for the Catenin Beta antibody.

Storage

Aliquot the Catenin Beta antibody and store frozen at -20oC or colder. Avoid repeated freeze-thaw cycles.

Cross
Bulk Quote Request Form
Name*:
Organization*:
Email*:
Phone Number*:
Catalog No.*:
Comments and Specifics(amount, formulation, etc.)*:
Validation code: Captchapackage Image


Can't read the image? click here to refresh.
    *required field

Your bulk quote request has been submitted successfully!

Please contact us if you have any questions.