• Tel: 858.663.9055
  • SeparatorEmail: info@nsjbio.com
  • Tel: 858.663.9055
  • Email: info@nsjbio.com
Home >> Antibodies >> Catalase Antibody

Catalase Antibody (R33518)

  Catalog No Formulation Size Price (USD)  
Image R33518-100UG 0.5 mg/ml in 1X TBS, pH7.3, with 0.5% BSA (US sourced) and 0.02% sodium azide 100 ug 449
Bulk quote request
Western blot testing of human kidney lysate with Catalase antibody at 1ug/ml. Predicted molecular weight ~60 kDa.
IHC staining of FFPE human liver with Catalase antibody at 2ug/ml. HIER: steamed with pH6 citrate buffer, AP-staining.
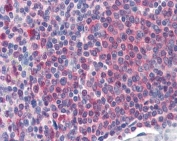
IHC staining of FFPE human spleen with Catalase antibody at 2ug/ml. HIER: steamed with pH6 citrate buffer, AP-staining.
Availability 1-3 business days
Species Reactivity Human, Mouse, Rat
Predicted Reactivity Dog
Format Antigen affinity purified
Clonality Polyclonal (goat origin)
Isotype Goat Ig
Purity Antigen affinity
Gene ID 847
Applications Western Blot : 0.3-1ug/ml
Immunohistochemistry (FFPE) : 2-4ug/ml
ELISA (peptide) LOD : 1:32000
Limitations This Catalase antibody is available for research use only.
Review this product on BioCompare and get a $20 Amazon gift card

Related Products

Description

Additional name(s) for this target protein: CAT

Application Notes

Optimal dilution of the Catalase antibody should be determined by the researcher.

Immunogen

Amino acids DKYNAEKPKNAIHT were used as the immunogen for this Catalase antibody.

Storage

Aliquot and store the Catalase antibody at -20oC.

Cross
Bulk Quote Request Form
Name*:
Organization*:
Email*:
Phone Number*:
Catalog No.*:
Comments and Specifics(amount, formulation, etc.)*:
Validation code: Captchapackage Image


Can't read the image? click here to refresh.
    *required field

Your bulk quote request has been submitted successfully!

Please contact us if you have any questions.