• Tel: 858.663.9055
  • SeparatorEmail: info@nsjbio.com
  • Tel: 858.663.9055
  • Email: info@nsjbio.com
Home >> Antibodies >> Caspase 3 Antibody

Caspase 3 Antibody [clone 8B6] (RQ4904)

  Catalog No Formulation Size Price (USD)  
Image RQ4904 0.5mg/ml if reconstituted with 0.2ml sterile DI water 100 ug 439
Bulk quote request
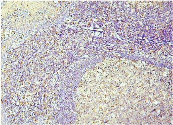
IHC staining of FFPE human tonsil with Caspase 3 antibody. HIER: boil tissue sections in pH8 EDTA for 20 min and allow to cool before testing.
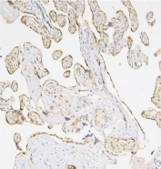
IHC staining of FFPE human placenta with Caspase 3 antibody. HIER: boil tissue sections in pH8 EDTA for 20 min and allow to cool before testing.
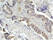
IHC staining of FFPE human intestinal cancer with Caspase 3 antibody. HIER: boil tissue sections in pH8 EDTA for 20 min and allow to cool before testing.
Western blot testing of human 1) placenta, 2) K562, 3) HepG2 and 4) Raji cell lysate with Caspase 3 antibody.
Flow cytometry testing of human HepG2 cells with Caspase 3 antibody at 1ug/million cells (blocked with goat sera); Red=cells alone, Green=isotype control, Blue= Caspase 3 antibody.
Availability 1-3 business days
Species Reactivity Human
Format Purified
Clonality Monoclonal (mouse origin)
Isotype Mouse IgG1
Clone Name 8B6
Purity Purified
Buffer Lyophilized from 1X PBS with 2% Trehalose and 0.025% sodium azide
UniProt P42574
Applications Western Blot : 0.5-1ug/ml
Immunohistochemistry (FFPE) : 1-2ug/ml
Flow Cytometry : 1-3ug/million cells
Limitations This Caspase 3 antibody is available for research use only.
Review this product on BioCompare and get a $20 Amazon gift card

Related Products

  • Applications : WB, IHC
    Reactivity : Human
    Recrabbitmono
  • Applications : WB, IHC-P
    Reactivity : Human, Mouse, Rat
  • Applications : WB, ELISA
    Reactivity : Human
  • Applications : WB, IHC-P, IF, FACS
    Reactivity : Human
  • Applications : WB, IHC-P
    Reactivity : Human, Mouse, Rat
    Rab Mono Image
  • Applications : WB
    Reactivity : Human, Mouse, Rat
  • Applications : WB, IHC-P, ICC
    Reactivity : Human
  • Applications : WB, IHC-P
    Reactivity : Mouse, Rat
  • Applications : WB, IF, IHC-P
    Reactivity : Human, Mouse, Rat
  • Applications : WB, IHC, FACS, ELISA
    Reactivity : Human
    Pred. Reactivity : Mouse, Rat, Primate, Rabbit
  • Applications : WB, IHC, FACS, ELISA
    Reactivity : Human
  • Applications : WB, FACS, IHC, ELISA
    Reactivity : Human
  • Applications : DB, ELISA
    Reactivity : Mouse
  • Applications : DB, ELISA
    Reactivity : Mouse
  • Applications : WB, ELISA (peptide)
    Reactivity : Human
    Pred. Reactivity : Dog, Mouse, Rat
  • Applications : WB, IF, FACS
    Reactivity : Human

Description

Caspase 3 is a caspase protein which interacts with Survivin, XIAP, CFLAR, Caspase 8, HCLS1, Deleted in Colorectal Cancer, TRAF3 and GroEL. This gene which is located on 4q35 encodes a protein that is a member of the cysteine-aspartic acid protease (caspase) family. Sequential activation of caspases plays a central role in the execution-phase of cell apoptosis. Caspases exist as inactive proenzymes that undergo proteolytic processing at conserved aspartic residues to produce two subunits, large and small, that dimerize to form the active enzyme. It is the predominant caspase involved in the cleavage of amyloid-beta 4A precursor protein, which is associated with neuronal death in Alzheimer's disease. And the caspase-3 activation in heart failure sequentially cleaves SRF and generates a truncated SRF that appears to function as a dominant-negative transcription factor. Additionally, the caspase-3 influence on bone mineral density should be considered in any in vivo application of caspase-3 inhibitors to the treatment of human disease. In erythroid precursors undergoing terminal differentiation, Hsp70 prevents active CASP3 from cleaving GATA1 and inducing apoptosis.

Application Notes

Optimal dilution of the Caspase 3 antibody should be determined by the researcher.

Immunogen

Amino acids T67-D175 from the human protein were used as the immunogen for the Caspase 3 antibody.

Storage

After reconstitution, the Caspase 3 antibody can be stored for up to one month at 4oC. For long-term, aliquot and store at -20oC. Avoid repeated freezing and thawing.

Cross
Bulk Quote Request Form
Name*:
Organization*:
Email*:
Phone Number*:
Catalog No.*:
Comments and Specifics(amount, formulation, etc.)*:
Validation code: Captchapackage Image


Can't read the image? click here to refresh.
    *required field

Your bulk quote request has been submitted successfully!

Please contact us if you have any questions.