• Tel: 858.663.9055
  • SeparatorEmail: info@nsjbio.com
  • Tel: 858.663.9055
  • Email: info@nsjbio.com
Home >> Antibodies >> CARD6 Antibody

CARD6 Antibody (F54469)

  Catalog No Formulation Size Price (USD)  
Image F54469-0.4ML In 1X PBS, pH 7.4, with 0.09% sodium azide 0.4 ml 429
Image
F54469-0.08ML In 1X PBS, pH 7.4, with 0.09% sodium azide 0.08 ml 199
Bulk quote request
Western blot testing of human WiDr cell lysate with CARD6 antibody. Predicted molecular weight ~116 kDa.
Western blot testing of human MDA-MB-231 cell lysate with CARD6 antibody. Predicted molecular weight ~116 kDa.
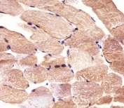
IHC testing of FFPE human skeletal muscle tissue with CARD6 antibody. HIER: steam section in pH6 citrate buffer for 20 min and allow to cool prior to staining.
IHC testing of FFPE human colon tissue with CARD6 antibody. HIER: steam section in pH6 citrate buffer for 20 min and allow to cool prior to staining.
Availability 1-3 business days
Species Reactivity Human
Format Purified
Clonality Polyclonal (rabbit origin)
Isotype Rabbit Ig
Purity Antigen affinity purified
UniProt Q9BX69
Applications Immunohistochemistry (FFPE) : 1:25
Western Blot : 1:500-1:2000
Limitations This CARD6 antibody is available for research use only.
Review this product on BioCompare and get a $20 Amazon gift card

Related Products

  • Applications : IHC, ELISA (peptide)
    Reactivity : Human

Description

CARD6 is a protein that contains a caspase recruitment domain (CARD), an antiparallel six-helical bundle that mediates homotypic protein-protein interactions. The encoded protein is a microtubule-associated protein that has been shown to interact with receptor-interacting protein kinases and positively modulate signal transduction pathways converging on activation of the inducible transcription factor NF-kB.

Application Notes

The stated application concentrations are suggested starting points. Titration of the CARD6 antibody may be required due to differences in protocols and secondary/substrate sensitivity.

Immunogen

A portion of amino acids 755-787 from the human protein was used as the immunogen for the CARD6 antibody.

Storage

Aliquot the CARD6 antibody and store frozen at -20oC or colder. Avoid repeated freeze-thaw cycles.

Cross
Bulk Quote Request Form
Name*:
Organization*:
Email*:
Phone Number*:
Catalog No.*:
Comments and Specifics(amount, formulation, etc.)*:
Validation code: Captchapackage Image


Can't read the image? click here to refresh.
    *required field

Your bulk quote request has been submitted successfully!

Please contact us if you have any questions.