• Tel: 858.663.9055
  • SeparatorEmail: info@nsjbio.com
  • Tel: 858.663.9055
  • Email: info@nsjbio.com
Home >> Antibodies >> Carboxypeptidase A1 Antibody / CPA1

Carboxypeptidase A1 Antibody / CPA1 [clone CPA1/2714] (V7404)

  Catalog No Formulation Size Price (USD)  
Image V7404-100UG 0.2 mg/ml in 1X PBS with 0.1 mg/ml BSA (US sourced) and 0.05% sodium azide 100 ug 539
Image
V7404-20UG 0.2 mg/ml in 1X PBS with 0.1 mg/ml BSA (US sourced) and 0.05% sodium azide 20 ug 249
Image
V7404SAF-100UG 1 mg/ml in 1X PBS; BSA free, sodium azide free 100 ug 539
Image
V7404IHC-7ML Prediluted in 1X PBS with 0.1 mg/ml BSA (US sourced) and 0.05% sodium azide; *For IHC use only* 7 ml 539
Microvalidated
Bulk quote request
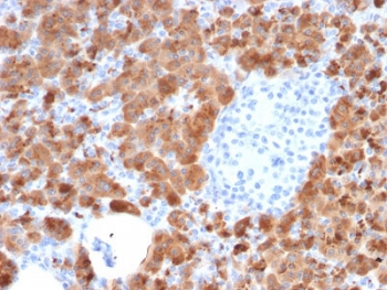
IHC testing of FFPE human pancreas with Carboxypeptidase A1 antibody (clone CPA1/2714). HIER: boil tissue sections in pH6, 10mM citrate buffer, for 10-20 min followed by cooling at RT for 20 min.
IHC testing of FFPE human pancreas with Carboxypeptidase A1 antibody (clone CPA1/2714). HIER: boil tissue sections in pH6, 10mM citrate buffer, for 10-20 min followed by cooling at RT for 20 min.
Analysis of HuProt(TM) microarray containing more than 19,000 full-length human proteins using Carboxypeptidase A1 antibody (clone CPA1/2714). These results demonstrate the foremost specificity of the CPA1/2714 mAb.
Z- and S- score: The Z-score represents the strength of a signal that an antibody (in combination with a fluorescently-tagged anti-IgG secondary Ab) produces when binding to a particular protein on the HuProt(TM) array. Z-scores are described in units of standard deviations (SD's) above the mean value of all signals generated on that array. If the targets on the HuProt(TM) are arranged in descending order of the Z-score, the S-score is the difference (also in units of SD's) between the Z-scores. The S-score therefore represents the relative target specificity of an Ab to its intended target.
SDS-PAGE analysis of purified, BSA-free Carboxypeptidase A1 antibody (clone CPA1/2714) as confirmation of integrity and purity.
Western blot testing of human pancreas lysate with Carboxypeptidase A1 antibody (clone CPA1/2714). Predicted molecular weight ~47 kDa.
Availability 1-3 business days
Species Reactivity Human
Format Purified
Clonality Monoclonal (mouse origin)
Isotype Mouse IgG1, kappa
Clone Name CPA1/2714
Purity Protein G affinity
UniProt P15085
Localization Cytoplasmic, secreted
Applications Immunohistochemistry (FFPE) : 1-2ug/ml for 30 min at RT
Western Blot : 1-2ug/ml
Limitations This Carboxypeptidase A1 antibody is available for research use only.
Review this product on BioCompare and get a $20 Amazon gift card

Related Products

Description

Human pancreatic procarboxypeptidase A exists as three different active forms, two of which are designated carboxypeptidase A1 (CPA1) and carboxypeptidase A2 (CPA2). CPA1, also known as CPA, is a 419 amino acid secreted monomeric protein that is highly expressed in pancreatic tissue. Functioning as a pancreatic exopeptidase, CPA1 uses zinc as a cofactor to catalyze the release of C-terminal amino acids from a variety of proteins, thereby playing a key role in protein digestion and degradation. Via its catalytic activity, CPA1 is also thought to be involved in zymogen (proenzyme) inhibition, probably functioning to block enzyme activation pathways. Abnormal levels of CPA1 are associated with pancreatic cancer, suggesting a possible role in either tumor progression or tumor suppression events.

Application Notes

Optimal dilution of the Carboxypeptidase A1 antibody should be determined by the researcher.

1. The prediluted format is supplied in a dropper bottle and is optimized for use in IHC. After epitope retrieval step (if required), drip mAb solution onto the tissue section and incubate at RT for 30 min.

Immunogen

Full length recombinant human protein was used as the immunogen for the Carboxypeptidase A1 antibody.

Storage

Store the Carboxypeptidase A1 antibody at 2-8oC (with azide) or aliquot and store at -20oC or colder (without azide).

Cross
Bulk Quote Request Form
Name*:
Organization*:
Email*:
Phone Number*:
Catalog No.*:
Comments and Specifics(amount, formulation, etc.)*:
Validation code: Captchapackage Image


Can't read the image? click here to refresh.
    *required field

Your bulk quote request has been submitted successfully!

Please contact us if you have any questions.