• Tel: 858.663.9055
  • SeparatorEmail: info@nsjbio.com
  • Tel: 858.663.9055
  • Email: info@nsjbio.com
Home >> Antibodies >> Carboxylesterase 2 Antibody / CES2

Carboxylesterase 2 Antibody / CES2 (F54270)

  Catalog No Formulation Size Price (USD)  
Image F54270-0.4ML In 1X PBS, pH 7.4, with 0.09% sodium azide 0.4 ml 429
Image
F54270-0.08ML In 1X PBS, pH 7.4, with 0.09% sodium azide 0.08 ml 199
Bulk quote request
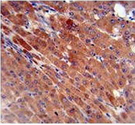
IHC testing of FFPE human hepatocarcinoma with Carboxylesterase 2 antibody. HIER: steam section in pH6 citrate buffer for 20 min and allow to cool prior to staining.
Western blot testing of human 1) HepG2 and 2) liver lysate with Carboxylesterase 2 antibody. Predicted molecular weight ~62 kDa.
Western blot testing of human 1) SW620 and 2) liver lysate with Carboxylesterase 2 antibody. Predicted molecular weight ~62 kDa.
Flow cytometry testing of fixed and permeabilized human U-87 MG cells with Carboxylesterase 2 antibody; Blue=isotype control, Green= Carboxylesterase 2 antibody.
Flow cytometry testing of fixed and permeabilized human MCF7 cells with Carboxylesterase 2 antibody; Blue=isotype control, Green= Carboxylesterase 2 antibody.
Availability 1-3 business days
Species Reactivity Human
Format Purified
Clonality Polyclonal (rabbit origin)
Isotype Rabbit Ig
Purity Antigen affinity purified
UniProt O00748
Localization Cytoplasmic
Applications Western Blot : 1:500-1:2000
Immunohistochemistry (FFPE) : 1:25
Flow Cytometry : 1:25 (1x10e6 cells)
Limitations This Carboxylesterase 2 antibody is available for research use only.
Review this product on BioCompare and get a $20 Amazon gift card

Related Products

Description

CES2 is a member of the carboxylesterase large family. The family members are responsible for the hydrolysis or transesterification of various xenobiotics, such as cocaine and heroin, and endogenous substrates with ester, thioester, or amide bonds. They may participate in fatty acyl and cholesterol ester metabolism, and may play a role in the blood-brain barrier system. The protein encoded by this gene is the major intestinal enzyme and functions in intestine drug clearance.

Application Notes

The stated application concentrations are suggested starting points. Titration of the Carboxylesterase 2 antibody may be required due to differences in protocols and secondary/substrate sensitivity.

Immunogen

A portion of amino acids 340-369 from the human protein were used as the immunogen for the Carboxylesterase 2 antibody.

Storage

Aliquot the Carboxylesterase 2 antibody and store frozen at -20oC or colder. Avoid repeated freeze-thaw cycles.

Cross
Bulk Quote Request Form
Name*:
Organization*:
Email*:
Phone Number*:
Catalog No.*:
Comments and Specifics(amount, formulation, etc.)*:
Validation code: Captchapackage Image


Can't read the image? click here to refresh.
    *required field

Your bulk quote request has been submitted successfully!

Please contact us if you have any questions.