• Tel: 858.663.9055
  • SeparatorEmail: info@nsjbio.com
  • Tel: 858.663.9055
  • Email: info@nsjbio.com
Home >> Antibodies >> Carbonic Anhydrase I Antibody

Carbonic Anhydrase I Antibody (R31859)

  Catalog No Formulation Size Price (USD)  
Image R31859 0.5mg/ml if reconstituted with 0.2ml sterile DI water 100 ug 439
Bulk quote request
Immunofluorescent staining of FFPE human Caco-2 cells with Carbonic Anhydrase I antibody (green) and DAPI nuclear stain (blue). HIER: steam section in pH6 citrate buffer for 20 min.
IHC staining of FFPE human colon adenocarcinoma tissue with Carbonic Anhydrase I antibody. HIER: boil tissue sections in pH8 EDTA for 20 min and allow to cool before testing.
IHC staining of FFPE human spleen tissue with Carbonic Anhydrase I antibody. HIER: boil tissue sections in pH8 EDTA for 20 min and allow to cool before testing.
IHC staining of FFPE mouse colon tissue with Carbonic Anhydrase I antibody. HIER: boil tissue sections in pH8 EDTA for 20 min and allow to cool before testing.
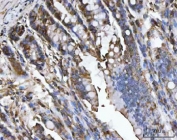
IHC staining of FFPE rat colon tissue with Carbonic Anhydrase I antibody. HIER: boil tissue sections in pH8 EDTA for 20 min and allow to cool before testing.
Western blot testing of 1) human HEL, 2) rat spleen and 3) mouse spleen lysate with Carbonic Anhydrase I antibody. Predicted molecular weight: ~29 kDa.
Flow cytometry testing of human HEL cells with Carbonic Anhydrase I antibody at 1ug/million cells (blocked with goat sera); Red=cells alone, Green=isotype control, Blue= Carbonic Anhydrase I antibody.
Availability 1-3 business days
Species Reactivity Human, Mouse, Rat
Format Antigen affinity purified
Clonality Polyclonal (rabbit origin)
Isotype Rabbit IgG
Purity Antigen affinity
Buffer Lyophilized from 1X PBS with 2.5% BSA and 0.025% sodium azide
UniProt P00915
Localization Cytoplasmic
Applications Western Blot : 0.5-1ug/ml
Immunohistochemistry (FFPE) : 2-5ug/ml
Immunofluorescence (FFPE) : 5ug/ml
Flow Cytometry : 1-3ug/million cells
Limitations This Carbonic Anhydrase I antibody is available for research use only.
Review this product on BioCompare and get a $20 Amazon gift card

Related Products

Description

Carbonic anhydrase I is an enzyme that in humans is encoded by the CA1 gene. It is a member of the Carbonic anhydrase. The CA1 gene is mapped to 8q22. CAI has got about 260 amino acids. This protein is highly expressed in erythrocytes. As catalysts of the reversible hydration of carbon dioxide, CAI participates in a variety of biologic processes like respiration, calcification, acid-base balance etc.

Application Notes

Optimal dilution of the Carbonic Anhydrase I antibody should be determined by the researcher.

Immunogen

Amino acids 9-261 of human CA1 were used as the immunogen for the Carbonic Anhydrase I antibody.

Storage

After reconstitution, the Carbonic Anhydrase I antibody can be stored for up to one month at 4oC. For long-term, aliquot and store at -20oC. Avoid repeated freezing and thawing.

Cross
Bulk Quote Request Form
Name*:
Organization*:
Email*:
Phone Number*:
Catalog No.*:
Comments and Specifics(amount, formulation, etc.)*:
Validation code: Captchapackage Image


Can't read the image? click here to refresh.
    *required field

Your bulk quote request has been submitted successfully!

Please contact us if you have any questions.