• Tel: 858.663.9055
  • SeparatorEmail: info@nsjbio.com
  • Tel: 858.663.9055
  • Email: info@nsjbio.com
Home >> Antibodies >> CAPG Antibody

CAPG Antibody (R34825)

  Catalog No Formulation Size Price (USD)  
Image R34825-100UG 0.5 mg/ml in 1X TBS, pH7.3, with 0.5% BSA (US sourced) and 0.02% sodium azide 100 ug 449
Bulk quote request
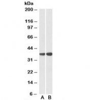
Western blot testing of U937 [A] and human spleen [B] lysates with CAPG antibody at 0.3ug/ml. Predicted molecular weight: ~38kDa.
Western blot testing of peripheral blood lymphocyte lysate with CAPG antibody at 0.3ug/ml (Lane A: cat # R34825 and Lane B: cat # 34356). Predicted molecular weight: ~38kDa.
Availability 1-3 business days
Species Reactivity Human
Predicted Reactivity Dog
Format Antigen affinity purified
Clonality Polyclonal (goat origin)
Isotype Goat Ig
Purity Antigen affinity
Gene ID 822
Applications Western Blot : 0.3-1ug/ml
ELISA (peptide) LOD : 1:64000
Limitations This CAPG antibody is available for research use only.
Review this product on BioCompare and get a $20 Amazon gift card

Related Products

  • Applications : WB, ELISA (peptide)
    Reactivity : Human, Mouse, Rat, Pig
    Pred. Reactivity : Dog

Description

Additional name(s) for this target protein: Capping protein (actin filament), gelsolin-like, Macrophage capping protein, MCP; CAPG

Application Notes

Optimal dilution of the CAPG antibody should be determined by the researcher.

Immunogen

Amino acids NIRATERALNWDS were used as the immunogen for this CAPG antibody.

Storage

Aliquot and store the CAPG antibody at -20oC.

Cross
Bulk Quote Request Form
Name*:
Organization*:
Email*:
Phone Number*:
Catalog No.*:
Comments and Specifics(amount, formulation, etc.)*:
Validation code: Captchapackage Image


Can't read the image? click here to refresh.
    *required field

Your bulk quote request has been submitted successfully!

Please contact us if you have any questions.