• Tel: 858.663.9055
  • SeparatorEmail: info@nsjbio.com
  • Tel: 858.663.9055
  • Email: info@nsjbio.com
Home >> Antibodies >> CAMKK2 Antibody / Calcium/calmodulin-dependent protein kinase kinase 2

CAMKK2 Antibody / Calcium/calmodulin-dependent protein kinase kinase 2 (FY12132)

  Catalog No Formulation Size Price (USD)  
Image FY12132 Adding 0.2 ml of distilled water will yield a concentration of 500 ug/ml 100 ug 439
Bulk quote request
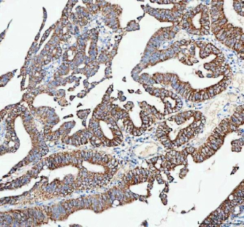
IHC analysis of CAMKK2 using anti-CAMKK2 antibody. CAMKK2 was detected in a paraffin-embedded section of human colorectal adenocarcinoma tissue. Heat mediated antigen retrieval was performed in EDTA buffer (pH 8.0, epitope retrieval solution). The tissue section was blocked with 10% goat serum. The tissue section was then incubated with 2 ug/ml rabbit anti-CAMKK2 antibody overnight at 4oC. Peroxidase Conjugated Goat Anti-rabbit IgG was used as secondary antibody and incubated for 30 minutes at 37oC. The tissue section was developed using an HRP secondary and DAB substrate.
Western blot analysis of CAMKK2 using anti-CAMKK2 antibody. Electrophoresis was performed on a 10% SDS-PAGE gel at 80V (Stacking gel) / 120V (Resolving gel) for 2 hours. Lane 1: human PC-3 whole cell lysates, Lane 2: human Hela whole cell lysates, Lane 3: human Jurkat whole cell lysates, Lane 4: human THP-1 whole cell lysates. After electrophoresis, proteins were transferred to a nitrocellulose membrane at 150 mA for 50-90 minutes. Blocked the membrane with 5% non-fat milk/TBS for 1.5 hour at RT. The membrane was incubated with rabbit anti-CAMKK2 antibody at 0.5 ug/ml overnight at 4oC, then washed with TBS-0.1%Tween 3 times with 5 minutes each and probed with a goat anti-rabbit IgG-HRP secondary antibody at a dilution of 1:5000 for 1.5 hour at RT. The signal was developed using an ECL Plus Western Blotting Substrate. A specific band was detected for CAMKK2 at approximately 65 kDa. The expected band size for CAMKK2 is at 65 kDa.
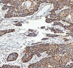
IHC analysis of CAMKK2 using anti-CAMKK2 antibody. CAMKK2 was detected in a paraffin-embedded section of human esophageal squamous carcinoma tissue. Heat mediated antigen retrieval was performed in EDTA buffer (pH 8.0, epitope retrieval solution). The tissue section was blocked with 10% goat serum. The tissue section was then incubated with 2 ug/ml rabbit anti-CAMKK2 antibody overnight at 4oC. Peroxidase Conjugated Goat Anti-rabbit IgG was used as secondary antibody and incubated for 30 minutes at 37oC. The tissue section was developed using an HRP secondary and DAB substrate.
IHC analysis of CAMKK2 using anti-CAMKK2 antibody. CAMKK2 was detected in a paraffin-embedded section of human liver cancer tissue. Heat mediated antigen retrieval was performed in EDTA buffer (pH 8.0, epitope retrieval solution). The tissue section was blocked with 10% goat serum. The tissue section was then incubated with 2 ug/ml rabbit anti-CAMKK2 antibody overnight at 4oC. Peroxidase Conjugated Goat Anti-rabbit IgG was used as secondary antibody and incubated for 30 minutes at 37oC. The tissue section was developed using an HRP secondary and DAB substrate.
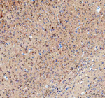
IHC analysis of CAMKK2 using anti-CAMKK2 antibody. CAMKK2 was detected in a paraffin-embedded section of mouse brain tissue. Heat mediated antigen retrieval was performed in EDTA buffer (pH 8.0, epitope retrieval solution). The tissue section was blocked with 10% goat serum. The tissue section was then incubated with 2 ug/ml rabbit anti-CAMKK2 antibody overnight at 4oC. Peroxidase Conjugated Goat Anti-rabbit IgG was used as secondary antibody and incubated for 30 minutes at 37oC. The tissue section was developed using an HRP secondary and DAB substrate.
IHC analysis of CAMKK2 using anti-CAMKK2 antibody. CAMKK2 was detected in a paraffin-embedded section of rat brain tissue. Heat mediated antigen retrieval was performed in EDTA buffer (pH 8.0, epitope retrieval solution). The tissue section was blocked with 10% goat serum. The tissue section was then incubated with 2 ug/ml rabbit anti-CAMKK2 antibody overnight at 4oC. Peroxidase Conjugated Goat Anti-rabbit IgG was used as secondary antibody and incubated for 30 minutes at 37oC. The tissue section was developed using an HRP secondary and DAB substrate.
Immunofluorescent staining of CAMKK2 using anti-CAMKK2 antibody (red). CAMKK2 was detected in a paraffin-embedded section of human intestinal cancer tissue. Heat mediated antigen retrieval was performed in EDTA buffer (pH 8.0, epitope retrieval solution). The tissue section was blocked with 10% goat serum. The tissue section was then incubated with 5 ug/ml rabbit anti-CAMKK2 antibody overnight at 4oC. Cy3-conjugated Anti-rabbit IgG Secondary antibody was used as secondary antibody at 1:500 dilution and incubated for 30 minutes at 37oC. The section was counterstained with DAPI (blue). Visualize using a fluorescence microscope and filter sets appropriate for the label used.
Immunofluorescent staining of CAMKK2 using anti-CAMKK2 antibody (green). CAMKK2 was detected in an immunocytochemical section of PC-3 cells. Enzyme antigen retrieval was performed using IHC enzyme antigen retrieval reagent for 15 mins. The cells were blocked with 10% goat serum. And then incubated with 5 ug/ml rabbit anti-CAMKK2 antibody overnight at 4oC. DyLight 488 Conjugated Goat Anti-Rabbit IgG was used as secondary antibody at 1:500 dilution and incubated for 30 minutes at 37oC. The section was counterstained with DAPI (blue). Visualize using a fluorescence microscope and filter sets appropriate for the label used.
Immunofluorescent staining of CAMKK2 using anti-CAMKK2 antibody (green). CAMKK2 was detected in an immunocytochemical section of Hela cells. Enzyme antigen retrieval was performed using IHC enzyme antigen retrieval reagent for 15 mins. The cells were blocked with 10% goat serum. And then incubated with 5 ug/ml rabbit anti-CAMKK2 antibody overnight at 4oC. DyLight 488 Conjugated Goat Anti-Rabbit IgG was used as secondary antibody at 1:500 dilution and incubated for 30 minutes at 37oC. The section was counterstained with DAPI (blue). Visualize using a fluorescence microscope and filter sets appropriate for the label used.
Availability 1-2 days
Species Reactivity Human, Mouse, Rat
Format Lyophilized
Clonality Polyclonal (rabbit origin)
Isotype Rabbit IgG
Purity Immunogen affinity purified
Buffer Each vial contains 4 mg Trehalose, 0.9 mg NaCl, 0.2 mg Na2HPO4.
UniProt Q96RR4
Applications Western Blot : 0.25-0.5ug/ml
Immunohistochemistry : 2-5ug/ml
Immunofluorescence : 5ug/ml
Immunocytochemistry : 5ug/ml
Flow Cytometry : 1-3ug/million cells
ELISA : 0.1-0.5ug/ml
Limitations This CAMKK2 antibody is available for research use only.
Review this product on BioCompare and get a $20 Amazon gift card

Related Products

Description

CAMKK2 antibody detects Calcium/calmodulin-dependent protein kinase kinase 2, encoded by the CAMKK2 gene on chromosome 12q24.31. CAMKK2 antibody is widely used to investigate this serine/threonine kinase, which phosphorylates and activates downstream kinases including CAMK1, CAMK4, and AMPK. By integrating calcium/calmodulin signals, CAMKK2 regulates diverse processes such as neuronal plasticity, energy metabolism, and inflammation. CAMKK2 is expressed in brain, liver, adipose tissue, and immune cells, highlighting its broad physiological roles.

Structurally, CAMKK2 contains an N-terminal catalytic domain, a regulatory segment with autoinhibitory and calmodulin-binding motifs, and a C-terminal extension that influences subcellular localization. Calcium/calmodulin binding relieves autoinhibition and activates the kinase. CAMKK2 also undergoes phosphorylation by upstream kinases and autophosphorylation, further modulating activity. Its ability to phosphorylate AMPK connects calcium signaling to metabolic regulation, while CAMK1/4 activation links CAMKK2 to transcriptional control in neurons.

Functionally, CAMKK2 contributes to long-term potentiation, memory formation, and neuronal differentiation. It modulates synaptic activity through regulation of gene expression programs. In metabolism, CAMKK2 activates AMPK in response to calcium flux, influencing glucose uptake, fatty acid oxidation, and energy homeostasis. In immune cells, CAMKK2 promotes pro-inflammatory gene expression, linking it to inflammatory and metabolic diseases. Dysregulation of CAMKK2 activity has been associated with obesity, diabetes, cardiovascular disease, and cancer. Pharmacological inhibitors of CAMKK2 are being investigated for therapeutic applications in metabolic disorders and prostate cancer.

Clinically, CAMKK2 overexpression is reported in prostate cancer, where it promotes androgen receptor signaling and tumor progression. Loss of CAMKK2 activity impairs tumor growth, highlighting its therapeutic potential. Neurologically, CAMKK2 dysfunction may contribute to psychiatric conditions including anxiety, depression, and schizophrenia, where altered calcium signaling disrupts synaptic plasticity. Researchers use CAMKK2 antibody to assess expression and activity across these contexts. Applications include western blotting to detect isoforms, immunohistochemistry for tissue distribution, and immunoprecipitation for substrate identification. NSJ Bioreagents provides CAMKK2 antibody as a high-quality reagent for research in neuroscience, metabolism, and oncology.

Application Notes

Optimal dilution of the CAMKK2 antibody should be determined by the researcher.

Immunogen

E.coli-derived human CAMKK2 recombinant protein (Position: M1-G349) was used as the immunogen for the CAMKK2 antibody.

Storage

After reconstitution, the CAMKK2 antibody can be stored for up to one month at 4oC. For long-term, aliquot and store at -20oC. Avoid repeated freezing and thawing.

Cross
Bulk Quote Request Form
Name*:
Organization*:
Email*:
Phone Number*:
Catalog No.*:
Comments and Specifics(amount, formulation, etc.)*:
Validation code: Captchapackage Image


Can't read the image? click here to refresh.
    *required field

Your bulk quote request has been submitted successfully!

Please contact us if you have any questions.