• Tel: 858.663.9055
  • SeparatorEmail: info@nsjbio.com
  • Tel: 858.663.9055
  • Email: info@nsjbio.com
Home >> Antibodies >> CAMK1 delta Antibody / CAMK1D

CAMK1 delta Antibody / CAMK1D (F54910)

  Catalog No Formulation Size Price (USD)  
Image F54910-0.4ML In 1X PBS, pH 7.4, with 0.09% sodium azide 0.4 ml 429
Image
F54910-0.08ML In 1X PBS, pH 7.4, with 0.09% sodium azide 0.08 ml 199
Bulk quote request
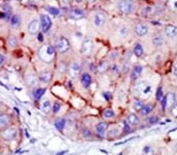
IHC testing of FFPE human hepatocellular carcinoma tissue with CAMK1 delta antibody. HIER: steam section in pH6 citrate buffer for 20 min and allow to cool prior to staining.
IHC testing of FFPE human cancer tissue with CAMK1 delta antibody. HIER: steam section in pH6 citrate buffer for 20 min and allow to cool prior to staining.
Western blot testing of human NCI-H460 cell lysate with CAMK1 delta antibody. Predicted molecular weight: ~40 kDa.
Western blot testing of 1) non-transfected and 2) transfected 293 cell lysate with CAMK1 delta antibody.
Availability 1-3 business days
Species Reactivity Human
Format Purified
Clonality Polyclonal (rabbit origin)
Isotype Rabbit Ig
Purity Purified
UniProt Q8IU85
Localization Cytoplasmic, nuclear
Applications Immunohistochemistry (FFPE) : 1:50-1:100
Western Blot : 1:500-1:1000
Limitations This CAMK1 delta antibody is available for research use only.
Review this product on BioCompare and get a $20 Amazon gift card

Related Products

Description

CAMK1-like protein kinase belongs to a proposed calcium-triggered signaling cascade. This protein is expressed in polymorphonuclear leukocytes (PMNs) and may be part of the chemokine signal transduction pathway that regulates granulocyte function. CAMK1-like protein kinase may play a role in apoptosis of erythroleukemia cells. It activates MAP kinase MAPK3, and in vitro, phosphorylates transcription factor CREM isoform Beta and probably CREB1.

Application Notes

The stated application concentrations are suggested starting points. Titration of the CAMK1 delta antibody may be required due to differences in protocols and secondary/substrate sensitivity.

Immunogen

A portion of amino acids 302-333 from the human protein was used as the immunogen for the CAMK1 delta antibody.

Storage

Aliquot the CAMK1 delta antibody and store frozen at -20oC or colder. Avoid repeated freeze-thaw cycles.

Cross
Bulk Quote Request Form
Name*:
Organization*:
Email*:
Phone Number*:
Catalog No.*:
Comments and Specifics(amount, formulation, etc.)*:
Validation code: Captchapackage Image


Can't read the image? click here to refresh.
    *required field

Your bulk quote request has been submitted successfully!

Please contact us if you have any questions.