• Tel: 858.663.9055
  • SeparatorEmail: info@nsjbio.com
  • Tel: 858.663.9055
  • Email: info@nsjbio.com
Home >> Antibodies >> CALR Antibody / Calreticulin

CALR Antibody / Calreticulin (F54252)

  Catalog No Formulation Size Price (USD)  
Image F54252-0.2ML In 1X PBS, pH 7.4, with 0.09% sodium azide 0.2 ml 429
Image
F54252-0.05ML In 1X PBS, pH 7.4, with 0.09% sodium azide 0.05 ml 199
Bulk quote request
Western blot testing of human 1) Jurkat, 2) HeLa, 3) K562, 4) SH-SY5Y, 5) Ramos and 6) A549 cell lysate with CALR antibody. Expected molecular weight: 46-55 kDa.
Western blot testing of human 1) HeLa, 2) Jurkat, 3) K562, 4) Ramos and 5) PC-3 cell lysate with CALR antibody. Expected molecular weight: 46-55 kDa.
Western blot testing of 1) Jurkat, 2) human Ramos and 3) rat C6 cell lysate with CALR antibody. Expected molecular weight: 46-55 kDa.
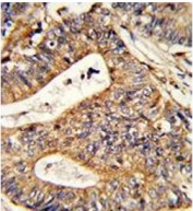
IHC testing of FFPE human colon carcinoma with CALR antibody. HIER: steam section in pH6 citrate buffer for 20 min and allow to cool prior to staining.
Flow cytometry testing of fixed and permeabilized human HeLa cells with CALR antibody; Blue=isotype control, Green= CALR antibody.
Availability 1-3 business days
Species Reactivity Human, Rat
Format Purified
Clonality Polyclonal (rabbit origin)
Isotype Rabbit Ig
Purity Antigen affinity purified
UniProt P27797
Gene ID 811
Applications Western Blot : 1:1000-1:2000
Immunohistochemistry (FFPE) : 1:50-1:100
Flow Cytometry : 1:25 (with 1x10e6 cells)
Limitations This CALR antibody is available for research use only.
Review this product on BioCompare and get a $20 Amazon gift card

Related Products

  • Applications : WB, ELISA (peptide)
    Reactivity : Human
    Pred. Reactivity : Cow, Dog, Mouse, Pig, Rat
  • Applications : WB, IHC-P, FACS, Direct ELISA
    Reactivity : Human, Mouse, Rat
  • Applications : WB, FACS, IHC-P
    Reactivity : Human, Rat
  • Applications : WB, IHC-P, FACS, ELISA
    Reactivity : Human, Mouse, Rat

Description

Calreticulin is a multifunctional protein that acts as a major Ca(2+)-binding (storage) protein in the lumen of the endoplasmic reticulum. It is also found in the nucleus, suggesting that it may have a role in transcription regulation. Calreticulin binds to the synthetic peptide KLGFFKR, which is almost identical to an amino acid sequence in the DNA-binding domain of the superfamily of nuclear receptors. Calreticulin binds to antibodies in certain sera of systemic lupus and Sjogren patients which contain anti-Ro/SSA antibodies, it is highly conserved among species, and it is located in the endoplasmic and sarcoplasmic reticulum where it may bind calcium. The amino terminus of calreticulin interacts with the DNA-binding domain of the glucocorticoid receptor and prevents the receptor from binding to its specific glucocorticoid response element. Calreticulin can inhibit the binding of androgen receptor to its hormone-responsive DNA element and can inhibit androgen receptor and retinoic acid receptor transcriptional activities in vivo, as well as retinoic acid-induced neuronal differentiation. Thus, calreticulin can act as an important modulator of the regulation of gene transcription by nuclear hormone receptors. Systemic lupus erythematosus is associated with increased autoantibody titers against calreticulin but calreticulin is not a Ro/SS-A antigen. Earlier papers referred to calreticulin as an Ro/SS-A antigen but this was later disproven. Increased autoantibody titer against human calreticulin is found in infants with complete congenital heart block of both the IgG and IgM classes.

Application Notes

The stated application concentrations are suggested starting points. Titration of the CALR antibody may be required due to differences in protocols and secondary/substrate sensitivity.

Immunogen

A portion of amino acids 277-305 from the human protein were used as the immunogen for the CALR antibody.

Storage

Aliquot the CALR antibody and store frozen at -20oC or colder. Avoid repeated freeze-thaw cycles.

Cross
Bulk Quote Request Form
Name*:
Organization*:
Email*:
Phone Number*:
Catalog No.*:
Comments and Specifics(amount, formulation, etc.)*:
Validation code: Captchapackage Image


Can't read the image? click here to refresh.
    *required field

Your bulk quote request has been submitted successfully!

Please contact us if you have any questions.