• Tel: 858.663.9055
  • SeparatorEmail: info@nsjbio.com
  • Tel: 858.663.9055
  • Email: info@nsjbio.com
Home >> Antibodies >> Calpastatin Antibody

Calpastatin Antibody (R32585)

  Catalog No Formulation Size Price (USD)  
Image R32585 0.5mg/ml if reconstituted with 0.2ml sterile DI water 100 ug 439
Bulk quote request
Immunofluorescent staining of FFPE human U-2 OS cells with Calpastatin antibody (green) and DAPI nuclear stain (blue). HIER: steam section in pH6 citrate buffer for 20 min.
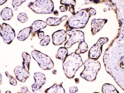
IHC testing of FFPE human placenta tissue with Calpastatin antibody at 1ug/ml. HIER: steam section in pH6 citrate buffer for 20 min.
IHC testing of FFPE human intestinal cancer tissue with Calpastatin antibody at 1ug/ml. HIER: steam section in pH6 citrate buffer for 20 min.
Flow cytometry testing of human A549 cells with Calpastatin antibody at 1ug/10^6 cells (blocked with goat sera); Red=cells alone, Green=isotype control, Blue=Calpastatin antibody.
Flow cytometry testing of human A431 cells with Calpastatin antibody at 1ug/10^6 cells (blocked with goat sera); Red=cells alone, Green=isotype control, Blue=Calpastatin antibody.
Flow cytometry testing of human U-2 OS cells with Calpastatin antibody at 1ug/10^6 cells (blocked with goat sera); Red=cells alone, Green=isotype control, Blue=Calpastatin antibody.
Western blot testing of human COLO320 cell lysate with Calpastatin antibody at 0.5ug/ml. Predicted molecular weight: 76 kDa but routinely observed at ~110 kDa.
Availability 1-3 business days
Species Reactivity Human
Format Antigen affinity purified
Clonality Polyclonal (rabbit origin)
Isotype Rabbit IgG
Purity Antigen affinity
Buffer Lyophilized from 1X PBS with 2.5% BSA and 0.025% sodium azide
UniProt P20810
Localization Cytoplasmic
Applications Western Blot : 0.5-1ug/ml
Flow Cytometry : 1-3ug/10^6 cells
Immunohistochemistry (FFPE) : 1-2ug/ml
Immunofluorescence (FFPE) : 2-4ug/ml
Limitations This Calpastatin antibody is available for research use only.
Review this product on BioCompare and get a $20 Amazon gift card

Related Products

Description

Calpastatin is a protein that in humans is encoded by the CAST gene. It is mapped to 5q15. The protein encoded by this gene is an endogenous calpain (calcium-dependent cysteine protease) inhibitor. It consists of an N-terminal domain L and four repetitive calpain-inhibition domains (domains 1-4), and it is involved in the proteolysis of amyloid precursor protein. The calpain/calpastatin system is involved in numerous membrane fusion events, such as neural vesicle exocytosis and platelet and red-cell aggregation. The encoded protein is also thought to affect the expression levels of genes encoding structural or regulatory proteins. Alternatively spliced transcript variants encoding different isoforms have been described.

Application Notes

Optimal dilution of the Calpastatin antibody should be determined by the researcher.

Immunogen

Amino acids 275-310 (QEKKRKVEKDTMSDQALEALSASLGTRQAEPELDLR-human) were used as the immunogen for the Calpastatin antibody.

Storage

After reconstitution, the Calpastatin antibody can be stored for up to one month at 4oC. For long-term, aliquot and store at -20oC. Avoid repeated freezing and thawing.

Cross
Bulk Quote Request Form
Name*:
Organization*:
Email*:
Phone Number*:
Catalog No.*:
Comments and Specifics(amount, formulation, etc.)*:
Validation code: Captchapackage Image


Can't read the image? click here to refresh.
    *required field

Your bulk quote request has been submitted successfully!

Please contact us if you have any questions.