• Tel: 858.663.9055
  • SeparatorEmail: info@nsjbio.com
  • Tel: 858.663.9055
  • Email: info@nsjbio.com
Home >> Antibodies >> Calpain Antibody / CAPN1

Calpain Antibody / CAPN1 [clone CAPN1/1530] (V8178)

  Catalog No Formulation Size Price (USD)  
Image V8178-100UG 0.2 mg/ml in 1X PBS with 0.1 mg/ml BSA (US sourced) and 0.05% sodium azide 100 ug 539
Image
V8178-20UG 0.2 mg/ml in 1X PBS with 0.1 mg/ml BSA (US sourced) and 0.05% sodium azide 20 ug 249
Image
V8178SAF-100UG 1 mg/ml in 1X PBS; BSA free, sodium azide free 100 ug 539
Bulk quote request
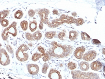
IHC staining of FFPE human breast carcinoma with Calpain antibody (clone CAPN1/1530). HIER: boil tissue sections in pH 9 10mM Tris with 1mM EDTA for 20 min and allow to cool before testing.
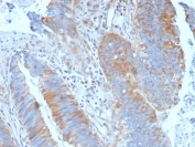
IHC staining of FFPE human colon carcinoma with Calpain antibody (clone CAPN1/1530). HIER: boil tissue sections in pH 9 10mM Tris with 1mM EDTA for 20 min and allow to cool before testing.
SDS-PAGE analysis of purified, BSA-free Calpain antibody (clone CAPN1/1530) as confirmation of integrity and purity.
Availability 1-3 business days
Species Reactivity Human
Format Purified
Clonality Monoclonal (mouse origin)
Isotype Mouse IgG1, kappa
Clone Name CAPN1/1530
Purity Protein G affinity chromatography
UniProt P07384
Localization Cell surface, cytoplasmic
Applications Immunohistochemistry (FFPE) : 1-2ug/ml
Limitations This Calpain antibody is available for research use only.
Review this product on BioCompare and get a $20 Amazon gift card

Related Products

Description

Calpain 1 is an intracellular calcium-dependent protease that cleaves cytoskeletal and sub-membranous proteins. Calpains are non-lysosomal, calcium-activated intracellular cysteine proteases. Calpains mediate specific Ca2+- dependent processes including cell fusion, mitosis and meiosis. Calpains are heterodimers of a small regulatory subunit and one of three large catalytic subunits, designated Calpain 1, Calpain 2 and Calpain p94. Calpastatin regulates Calpain by inhibiting both the proteolytic activity of Calpain and its binding to membranes. Calpastatin exists in two types, tissue type and erythrocyte type, resulting from both alternative splicing and proteolytic processing. Calpain 1 co-localizes with human leukocyte antigen-DR (HLA-DR) on activated microglia in the aging brain. Calpain influences the process of spermatogenesis and the events preceding fertilization, such as the acrosome reaction.

Application Notes

Optimal dilution of the Calpain antibody should be determined by the researcher.

Immunogen

A recombinant full-length human CAPN1 protein was used as the immunogen for this Calpain antibody.

Storage

Store the Calpain antibody at 2-8oC (with azide) or aliquot and store at -20oC or colder (without azide).

Cross
Bulk Quote Request Form
Name*:
Organization*:
Email*:
Phone Number*:
Catalog No.*:
Comments and Specifics(amount, formulation, etc.)*:
Validation code: Captchapackage Image


Can't read the image? click here to refresh.
    *required field

Your bulk quote request has been submitted successfully!

Please contact us if you have any questions.