• Tel: 858.663.9055
  • SeparatorEmail: info@nsjbio.com
  • Tel: 858.663.9055
  • Email: info@nsjbio.com
Home >> Antibodies >> Calpain 2 Antibody / CAPN2

Calpain 2 Antibody / CAPN2 (R32944)

  Catalog No Formulation Size Price (USD)  
Image R32944 0.5mg/ml if reconstituted with 0.2ml sterile DI water 100 ug 439
Bulk quote request
Western blot testing of 1) rat kidney, 2) mouse kidney, 3) mouse lung and 4) human MCF7 lysate with Calpain 2 antibody at 0.5ug/ml. Predicted molecular weight ~80 kDa.
IHC testing of FFPE human lung cancer tissue with Calpain 2 antibody at 1ug/ml. Required HIER: steam section in pH6 citrate buffer for 20 min and allow to cool prior to testing.
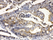
IHC testing of FFPE human intestinal cancer tissue with Calpain 2 antibody at 1ug/ml. Required HIER: steam section in pH6 citrate buffer for 20 min and allow to cool prior to testing.
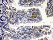
IHC testing of FFPE rat small intestine tissue with Calpain 2 antibody at 1ug/ml. Required HIER: steam section in pH6 citrate buffer for 20 min and allow to cool prior to testing.
Availability 1-3 business days
Species Reactivity Human, Mouse, Rat
Format Antigen affinity purified
Clonality Polyclonal (rabbit origin)
Isotype Rabbit IgG
Purity Antigen affinity
Buffer Lyophilized from 1X PBS with 2.5% BSA, 0.025% sodium azide
UniProt P17655
Localization Cytoplasmic
Applications Western Blot : 0.5-1ug/ml
IHC (FFPE) : 1-2ug/ml
Limitations This Calpain 2 antibody is available for research use only.
Review this product on BioCompare and get a $20 Amazon gift card

Description

Calpain-2 catalytic subunit is a protein that in humans is encoded by the CAPN2 gene. The calpains, calcium-activated neutral proteases, are nonlysosomal, intracellular cysteine proteases. The mammalian calpains include ubiquitous, stomach-specific, and muscle-specific proteins. The ubiquitous enzymes consist of heterodimers with distinct large, catalytic subunits associated with a common small, regulatory subunit. This gene encodes the large subunit of the ubiquitous enzyme, calpain 2. Multiple heterogeneous transcriptional start sites in the 5' UTR have been reported.

Application Notes

Optimal dilution of the Calpain 2 antibody should be determined by the researcher.

Immunogen

A recombinant protein corresponding to amino acids R500-L700 was used as the immunogen for the Calpain 2 antibody.

Storage

After reconstitution, the Calpain 2 antibody can be stored for up to one month at 4oC. For long-term, aliquot and store at -20oC. Avoid repeated freezing and thawing.

Cross
Bulk Quote Request Form
Name*:
Organization*:
Email*:
Phone Number*:
Catalog No.*:
Comments and Specifics(amount, formulation, etc.)*:
Validation code: Captchapackage Image


Can't read the image? click here to refresh.
    *required field

Your bulk quote request has been submitted successfully!

Please contact us if you have any questions.