• Tel: 858.663.9055
  • SeparatorEmail: info@nsjbio.com
  • Tel: 858.663.9055
  • Email: info@nsjbio.com
Home >> Antibodies >> Calpain 1 Antibody

Calpain 1 Antibody (R30432)

  Catalog No Formulation Size Price (USD)  
Image R30432 0.5mg/ml if reconstituted with 0.2ml sterile DI water 100 ug 439
Bulk quote request
Western blot testing of Calpain 1 antibody and Lane 1: HT1080; 2: COLO320 cell lysate. Predicted molecular weight: ~82kDa.
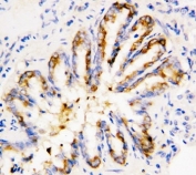
IHC-P: Calpain 1 antibody testing of rat lung tissue
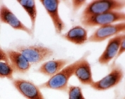
ICC testing of HeLa cells
Availability 1-3 business days
Species Reactivity Human, Mouse, Rat
Format Antigen affinity purified
Clonality Polyclonal (rabbit origin)
Isotype Rabbit IgG
Purity Antigen affinity
Buffer Lyophilized from 1X PBS with 2.5% BSA and 0.025% sodium azide/thimerosal
UniProt P07384
Applications Western Blot : 0.5-1ug/ml
IHC (FFPE) : 0.5-1ug/ml
IHC (Frozen) : 0.5-1ug/ml
Immunocytochemistry : 0.5-1ug/ml
Limitations This Calpain 1 antibody is available for research use only.
Review this product on BioCompare and get a $20 Amazon gift card

Related Products

Description

Calpain-1 catalytic subunit is a protein that in humans is encoded by the CAPN1 gene. Calpain is an intracellular protease that requires calcium for its catalytic activity. Two isozymes, CAPN1 (mu-calpain) and CAPN2 (m-calpain), with different calcium requirements, have been identified. Both are heterodimers composed of L (large, catalytic, 82 kD) and S (small, regulatory, 30 kD) subunits. The isozymes share an identical S subunit, with the differences arising from the L subunits. By quantitative RT-PCR, Ueyama et al.(1998) found that expression of Calpain1/2 mRNA was significantly increased in muscle biopsy samples derived from 5 men with progressive muscular dystrophy (e.g., DMD; 310200) and 2 men and 3 women with amyotrophic lateral sclerosis(ALS; 105400) compared with controls. Using cDNA clones as probes, Ohno et al.(1989, 1990) assign CAPNL1 to chromosome 11.

Application Notes

The stated application concentrations are suggested starting amounts. Titration of the Calpain 1 antibody may be required due to differences in protocols and secondary/substrate sensitivity.

Immunogen

An amino acid sequence from the middle region of human CAPNL1 (EWNNVDPYERDQLRV) was used as the immunogen for this Calpain 1 antibody.

Storage

After reconstitution, the Calpain 1 antibody can be stored for up to one month at 4oC. For long-term, aliquot and store at -20oC. Avoid repeated freezing and thawing.

Cross
Bulk Quote Request Form
Name*:
Organization*:
Email*:
Phone Number*:
Catalog No.*:
Comments and Specifics(amount, formulation, etc.)*:
Validation code: Captchapackage Image


Can't read the image? click here to refresh.
    *required field

Your bulk quote request has been submitted successfully!

Please contact us if you have any questions.