• Tel: 858.663.9055
  • SeparatorEmail: info@nsjbio.com
  • Tel: 858.663.9055
  • Email: info@nsjbio.com
Home >> Antibodies >> Calmegin Antibody / CLGN

Calmegin Antibody / CLGN (RQ6849)

  Catalog No Formulation Size Price (USD)  
Image RQ6849 0.5mg/ml if reconstituted with 0.2ml sterile DI water 100 ug 439
Bulk quote request
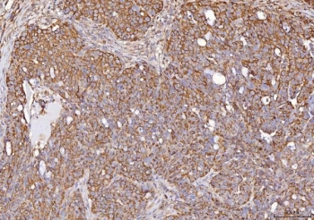
IHC staining of FFPE human ovarian cancer tissue with Calmegin antibody. HIER: boil tissue sections in pH8 EDTA for 20 min and allow to cool before testing.
IHC staining of FFPE human breast cancer tissue with Calmegin antibody. HIER: boil tissue sections in pH8 EDTA for 20 min and allow to cool before testing.
IHC staining of FFPE mouse testis tissue with Calmegin antibody. HIER: boil tissue sections in pH8 EDTA for 20 min and allow to cool before testing.
IHC staining of FFPE rat testis tissue with Calmegin antibody. HIER: boil tissue sections in pH8 EDTA for 20 min and allow to cool before testing.
Western blot testing of 1) human Jurkat, 2) human HepG2, 3) human PC-2, 4) human Raji, 5) rat testis and 6) mouse testis tissue lysate with Calmegin antibody. Predicted molecular weight ~70 kDa but can be observed at ~93 kDa with an ~101 kDa phosphorylated form.
Flow cytometry testing of human Jurkat cells with Calmegin antibody at 1ug/million cells (blocked with goat sera); Red=cells alone, Green=isotype control, Blue= Calmegin antibody.
Availability 1-3 business days
Species Reactivity Human, Mouse, Rat
Format Antigen affinity purified
Clonality Polyclonal (rabbit origin)
Isotype Rabbit IgG
Purity Antigen affinity purified
Buffer Lyophilized from 1X PBS with 2% Trehalose
UniProt O14967
Localization Cytoplasmic (ER)
Applications Western Blot : 1-2ug/ml
Immunohistochemistry (FFPE) : 2-5ug/ml
Flow Cytometry : 1-3ug/million cells
Direct ELISA : 0.1-0.5ug/ml
Limitations This Calmegin antibody is available for research use only.
Review this product on BioCompare and get a $20 Amazon gift card

Related Products

  • Applications : WB, Direct ELISA
    Reactivity : Mouse, Rat

Description

Calmegin, also known as CLGN, is a protein which in humans is encoded by the CLGN gene. Calmegin is a testis-specific endoplasmic reticulum chaperone protein. CLGN may play a role in spermatogeneisis and infertility.

Application Notes

Optimal dilution of the Calmegin antibody should be determined by the researcher.

Immunogen

Recombinant human protein (amino acids E36-D610) was used as the immunogen for the Calmegin antibody.

Storage

After reconstitution, the Calmegin antibody can be stored for up to one month at 4oC. For long-term, aliquot and store at -20oC. Avoid repeated freezing and thawing.

Cross
Bulk Quote Request Form
Name*:
Organization*:
Email*:
Phone Number*:
Catalog No.*:
Comments and Specifics(amount, formulation, etc.)*:
Validation code: Captchapackage Image


Can't read the image? click here to refresh.
    *required field

Your bulk quote request has been submitted successfully!

Please contact us if you have any questions.