• Tel: 858.663.9055
  • SeparatorEmail: info@nsjbio.com
  • Tel: 858.663.9055
  • Email: info@nsjbio.com
Home >> Antibodies >> Calcitonin Antibody / CALCA / CGRP

Calcitonin Antibody / CALCA / CGRP (RQ4462)

  Catalog No Formulation Size Price (USD)  
Image RQ4462 0.5mg/ml if reconstituted with 0.2ml sterile DI water 100 ug 439
Bulk quote request
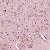
IHC testing of FFPE mouse brain with Calcitonin antibody at 2ug/ml. HIER: steamed antigen retrieval with pH6 citrate buffer.
IHC testing of FFPE rat brain with Calcitonin antibody at 2ug/ml. HIER: steamed antigen retrieval with pH6 citrate buffer.
Availability 1-3 business days
Species Reactivity Mouse, Rat
Format Antigen affinity purified
Clonality Polyclonal (rabbit origin)
Isotype Rabbit IgG
Purity Antigen affinity
Buffer Lyophilized from 1X PBS with 2% Trehalose and 0.025% sodium azide
UniProt P70160
Applications Immunohistochemistry (FFPE) : 1-2ug/ml
Limitations This Calcitonin antibody is available for research use only.
Review this product on BioCompare and get a $20 Amazon gift card

Related Products

Description

Calcitonin, also known as CALCA, is a peptide hormone synthesized by the parafollicular cells of the thyroid. It is mapped to 11p15.2. Calcitonin belongs to the calcitonin-like protein family. Calcitonin is involved in calcium regulation and acts to regulate phosphorus metabolism. Calcitonin gene-related peptide functions as a vasodilator and as an antimicrobial peptide while katacalcin is a calcium-lowering peptide. Multiple transcript variants encoding different isoforms have been found for this gene.

Application Notes

Optimal dilution of the Calcitonin antibody should be determined by the researcher.

Immunogen

Amino acids CGNLSTCMLGTYTQDLNKFHTFPQTSIGVEAP were used as the immunogen for the Calcitonin antibody.

Storage

After reconstitution, the Calcitonin antibody can be stored for up to one month at 4oC. For long-term, aliquot and store at -20oC. Avoid repeated freezing and thawing.

Cross
Bulk Quote Request Form
Name*:
Organization*:
Email*:
Phone Number*:
Catalog No.*:
Comments and Specifics(amount, formulation, etc.)*:
Validation code: Captchapackage Image


Can't read the image? click here to refresh.
    *required field

Your bulk quote request has been submitted successfully!

Please contact us if you have any questions.