• Tel: 858.663.9055
  • SeparatorEmail: info@nsjbio.com
  • Tel: 858.663.9055
  • Email: info@nsjbio.com
Home >> Antibodies >> Calcipressin-2 Antibody / RCAN2 / DSCR1L1

Calcipressin-2 Antibody / RCAN2 / DSCR1L1 (F54849)

  Catalog No Formulation Size Price (USD)  
Image F54849-0.4ML In 1X PBS, pH 7.4, with 0.09% sodium azide 0.4 ml 429
Image
F54849-0.08ML In 1X PBS, pH 7.4, with 0.09% sodium azide 0.08 ml 199
Bulk quote request
Western blot testing of mouse heart tissue lysate with Calcipressin-2 antibody. Predicted molecular weight ~22 kDa.
Western blot testing of NCI-H460 cell lysate with Calcipressin-2 antibody. Predicted molecular weight ~22 kDa.
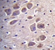
IHC testing of FFPE human brain tissue with Calcipressin-2 antibody. HIER: steam section in pH6 citrate buffer for 20 min and allow to cool prior to staining.
Flow cytometry testing of human NCI-H460 cells with Calcipressin-2 antibody; Blue=isotype control, Green= Calcipressin-2 antibody.
Availability 1-3 business days
Species Reactivity Human, Mouse
Format Purified
Clonality Polyclonal (rabbit origin)
Isotype Rabbit Ig
Purity Antigen affinity purified
UniProt Q14206
Localization Cytoplasmic, nuclear
Applications Flow Cytometry : 1:10-1:50 (1x10e6 cells)
Immunohistochemistry (FFPE) : 1:10-1:50
Western Blot : 1:500-1:1000
Limitations This Calcipressin-2 antibody is available for research use only.
Review this product on BioCompare and get a $20 Amazon gift card

Description

Calcipressin-2/DSCR1L1 inhibits calcineurin-dependent transcriptional responses by binding to the catalytic domain of calcineurin A. This protein may play a role during central nervous system development. Expression is detected in fibroblasts, heart, brain, liver, and skeletal muscle but not in placenta, lung, kidney and pancreas. Expression of both transcripts is upregulated by physiologic concentrations of the thyroid hormone triiodothyroxine.

Application Notes

The stated application concentrations are suggested starting points. Titration of the Calcipressin-2 antibody may be required due to differences in protocols and secondary/substrate sensitivity.

Immunogen

A portion of amino acids 6-37 from the human protein was used as the immunogen for the Calcipressin-2 antibody.

Storage

Aliquot the Calcipressin-2 antibody and store frozen at -20oC or colder. Avoid repeated freeze-thaw cycles.

Cross
Bulk Quote Request Form
Name*:
Organization*:
Email*:
Phone Number*:
Catalog No.*:
Comments and Specifics(amount, formulation, etc.)*:
Validation code: Captchapackage Image


Can't read the image? click here to refresh.
    *required field

Your bulk quote request has been submitted successfully!

Please contact us if you have any questions.