• Tel: 858.663.9055
  • SeparatorEmail: info@nsjbio.com
  • Tel: 858.663.9055
  • Email: info@nsjbio.com
Home >> Antibodies >> Calcineurin Antibody / PPP3CA

Calcineurin Antibody / PPP3CA [clone CALNA/2353] (V7515)

  Catalog No Formulation Size Price (USD)  
Image V7515-100UG 0.2 mg/ml in 1X PBS with 0.1 mg/ml BSA (US sourced) and 0.05% sodium azide 100 ug 539
Image
V7515-20UG 0.2 mg/ml in 1X PBS with 0.1 mg/ml BSA (US sourced) and 0.05% sodium azide 20 ug 249
Image
V7515SAF-100UG 1 mg/ml in 1X PBS; BSA free, sodium azide free 100 ug 539
Image
V7515IHC-7ML Prediluted in 1X PBS with 0.1 mg/ml BSA (US sourced) and 0.05% sodium azide; *For IHC use only* 7 ml 539
Bulk quote request
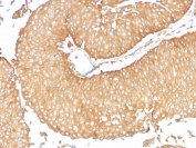
IHC testing of FFPE human prostate carcinoma with Calcineurin antibody (clone CALNA/2353). HIER: boil tissue sections in pH6, 10mM citrate buffer, for 10-20 min followed by cooling at RT for 20 min.
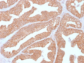
IHC testing of FFPE human ovarian carcinoma with Calcineurin antibody (clone CALNA/2353). HIER: boil tissue sections in pH6, 10mM citrate buffer, for 10-20 min followed by cooling at RT for 20 min.
Availability 1-3 business days
Species Reactivity Human
Format Purified
Clonality Monoclonal (mouse origin)
Isotype Mouse IgG1, kappa
Clone Name CALNA/2353
Purity Protein G affinity
UniProt Q08209
Localization Cytoplasmic, cell surface, nuclear
Applications Immunohistochemistry (FFPE) : 1-2ug/ml for 30 min at RT
Limitations This Calcineurin antibody is available for research use only.
Review this product on BioCompare and get a $20 Amazon gift card

Related Products

Description

Calcineurin is an enzyme that dephosphorylates serine and threonine residues in proteins. It is a heterodimer of a 59kDa catalytic A subunit and a 19kDa regulatory B subunit that is activated by the binding of calcium ions and calmodulin. Calcineurin is expressed in many tissues, but its levels are highest in the brain, where it may play a role in learning and memory. It has many substrates, including NFAT, a transcription factor that is activated by dephosphorylation. Complexes of the immuno-suppressants cyclosporine and FK506 with immunophilin proteins such as cyclophilin and FKBP12 are potent and specific inhibitors of Calcineurin activity. Alterations in Calcineurin activity are suspected to play a role in cardiac hypertrophy and graft versus host disease in organ transplantation.

Application Notes

Optimal dilution of the Calcineurin antibody should be determined by the researcher.

1. The prediluted format is supplied in a dropper bottle and is optimized for use in IHC. After epitope retrieval step (if required), drip mAb solution onto the tissue section and incubate at RT for 30 min.

Immunogen

Full length recombinant human protein was used as the immunogen for the Calcineurin antibody.

Storage

Store the Calcineurin antibody at 2-8oC (with azide) or aliquot and store at -20oC or colder (without azide).

Cross
Bulk Quote Request Form
Name*:
Organization*:
Email*:
Phone Number*:
Catalog No.*:
Comments and Specifics(amount, formulation, etc.)*:
Validation code: Captchapackage Image


Can't read the image? click here to refresh.
    *required field

Your bulk quote request has been submitted successfully!

Please contact us if you have any questions.