• Tel: 858.663.9055
  • SeparatorEmail: info@nsjbio.com
  • Tel: 858.663.9055
  • Email: info@nsjbio.com
Home >> Antibodies >> Calbindin D9K Antibody / S100G

Calbindin D9K Antibody / S100G [clone S100G/7516] (V5344)

  Catalog No Formulation Size Price (USD)  
Image V5344-100UG 0.2 mg/ml in 1X PBS with 0.1 mg/ml BSA (US sourced), 0.05% sodium azide 100 ug 539
Image
V5344-20UG 0.2 mg/ml in 1X PBS with 0.1 mg/ml BSA (US sourced), 0.05% sodium azide 20 ug 249
Image
V5344SAF-100UG 1 mg/ml in 1X PBS; BSA free, sodium azide free 100 ug 539
Bulk quote request
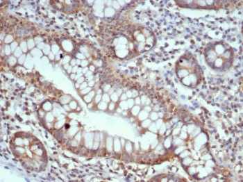
IHC staining of FFPE human small intestine tissue with Calbindin D9K antibody (clone S100G/7516). HIER: boil tissue sections in pH 9 10mM Tris with 1mM EDTA for 20 min and allow to cool before testing.
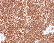
IHC staining of FFPE human lymph node tissue with Calbindin D9Kantibody (clone S100G/7516). HIER: boil tissue sections in pH 9 10mM Tris with 1mM EDTA for 20 min and allow to cool before testing.
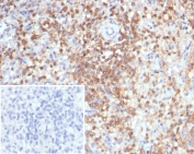
IHC staining of FFPE human spleen tissue with Calbindin D9K antibody (clone S100G/7516). Inset: PBS used in place of primary Ab (secondary Ab negative control). HIER: boil tissue sections in pH 9 10mM Tris with 1mM EDTA for 20 min and allow to cool before testing.
SDS-PAGE analysis of purified, BSA-free Calbindin D9K antibody (clone S100G/7516) as confirmation of integrity and purity.
Availability 1-3 business days
Species Reactivity Human
Format Purified
Clonality Monoclonal (mouse origin)
Isotype Mouse IgG2, kappa
Clone Name S100G/7516
Purity Protein A/G affinity
UniProt P29377
Localization Cytoplasm
Applications Immunohistochemistry (FFPE) : 1-2ug/ml for 30 min at RT
Limitations This Calbindin D9K antibody is available for research use only.
Review this product on BioCompare and get a $20 Amazon gift card

Related Products

Description

This gene encodes calbindin D9K, a vitamin D-dependent calcium-binding protein. This cytosolic protein belongs to a family of calcium-binding proteins that includes calmodulin, parvalbumin, troponin C, and S100 protein. In the intestine, the protein is vitamin D-dependent and its expression correlates with calcium transport activity. The protein may increase Ca2+ absorption by buffering Ca2+ in the cytoplasm and increase ATP-dependent Ca2+ transport in duodenal basolateral membrane vesicles. [provided by RefSeq, Jul 2008]

Application Notes

Optimal dilution of the Calbindin D9K antibody should be determined by the researcher.

Immunogen

Recombinant full-length human protein was used as the immunogen for the Calbindin D9K antibody.

Storage

Aliquot the Calbindin D9K antibody and store frozen at -20oC or colder. Avoid repeated freeze-thaw cycles.

Cross
Bulk Quote Request Form
Name*:
Organization*:
Email*:
Phone Number*:
Catalog No.*:
Comments and Specifics(amount, formulation, etc.)*:
Validation code: Captchapackage Image


Can't read the image? click here to refresh.
    *required field

Your bulk quote request has been submitted successfully!

Please contact us if you have any questions.