• Tel: 858.663.9055
  • SeparatorEmail: info@nsjbio.com
  • Tel: 858.663.9055
  • Email: info@nsjbio.com
Home >> Antibodies >> Cadherin-2 Antibody / N-Cadherin / CDH2

Cadherin-2 Antibody / N-Cadherin / CDH2 [clone CDH2/9491] (V5633)

  Catalog No Formulation Size Price (USD)  
Image V5633-100UG 0.2 mg/ml in 1X PBS with 0.1 mg/ml BSA (US sourced), 0.05% sodium azide 100 ug 539
Image
V5633-20UG 0.2 mg/ml in 1X PBS with 0.1 mg/ml BSA (US sourced), 0.05% sodium azide 20 ug 249
Image
V5633SAF-100UG 1 mg/ml in 1X PBS; BSA free, sodium azide free 100 ug 539
Bulk quote request
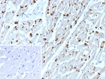
IHC staining of FFPE human heart tissue with Cadherin 2 antibody (clone CDH2/9491). Inset: PBS used in place of primary Ab (secondary Ab negative control). HIER: boil tissue sections in pH 9 10mM Tris with 1mM EDTA for 20 min and allow to cool before testing.
SDS-PAGE analysis of purified, BSA-free Cadherin 2 antibody (clone CDH2/9491) as confirmation of integrity and purity.
Availability 1-3 business days
Species Reactivity Human
Format Purified
Clonality Monoclonal (mouse origin)
Isotype Mouse IgG2b, kappa
Clone Name CDH2/9491
Purity Protein G affinity
UniProt P19022
Localization Cell Surface, Cytoplasm
Applications Immunohistochemistry (FFPE) : 1-2ug/ml
Limitations This Cadherin-2 antibody is available for research use only.
Review this product on BioCompare and get a $20 Amazon gift card

Related Products

Description

Recognizes a protein of ~140kDa, identified as N-Cadherin (NCAD), also known as CD325. NCAD is a member of the Cadherin superfamily, and consists of five extracellular repeats, a transmembrane domain and a cytoplasmic domain. CD325 has been implicated in several aspects of cardiac development including the precardiac mesoderm, establishment of left-right symmetry and cardiac looping morphogenesis.

Application Notes

Optimal dilution of the Cadherin 2 antibody should be determined by the researcher.

Immunogen

A recombinant human Cadherin 2 partial protein from the cytoplasmic domain was used as the immunogen for the Cadherin 2 antibody.

Storage

Aliquot the Cadherin 2 antibody and store frozen at -20oC or colder. Avoid repeated freeze-thaw cycles.

Cross
Bulk Quote Request Form
Name*:
Organization*:
Email*:
Phone Number*:
Catalog No.*:
Comments and Specifics(amount, formulation, etc.)*:
Validation code: Captchapackage Image


Can't read the image? click here to refresh.
    *required field

Your bulk quote request has been submitted successfully!

Please contact us if you have any questions.