- Tel: 858.663.9055
-
Email: info@nsjbio.com
- Tel: 858.663.9055
- Email: info@nsjbio.com
Related Products
|
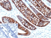
Cadherin 17 (also known as LI Cadherin) is part of a family of Calcium-dependent adhesion molecules that function to mediate cell-cell binding critical to the maintenance of tissue structure and morphogenesis. Cadherins each contain a large extracellular domain at the amino terminus, which is characterized by a series of five homologous repeats, the most distal of which is thought to be responsible for binding specificity. The relatively short carboxy terminal, intracellular domain interacts with a variety of cytoplasmic proteins, including beta-catenin, to regulate cadherin function. LI-cadherin (for liver-intestine-cadherin) expression is restricted to liver and intestine tissues and is specifically localized to the basolateral domain of hepatocytes and enterocytes.
Optimal dilution of the Cadherin 17 antibody should be determined by the researcher.
A portion of amino acids 242-418 from human Cadherin 17 protein was used as the immunogen for the Cadherin 17 antibody.
Aliquot the Cadherin 17 antibody and store frozen at -20oC or colder. Avoid repeated freeze-thaw cycles.
Your bulk quote request has been submitted successfully!
Please contact us if you have any questions.