• Tel: 858.663.9055
  • SeparatorEmail: info@nsjbio.com
  • Tel: 858.663.9055
  • Email: info@nsjbio.com
Home >> Antibodies >> C9 Antibody / Complement component C9

C9 Antibody / Complement component C9 [clone BAO-3] (RQ5006)

  Catalog No Formulation Size Price (USD)  
Image RQ5006 Antibody in PBS with 0.02% sodium azide, 50% glycerol and 0.4-0.5mg/ml BSA 100 ul 439
Microvalidated Rab Mono Image
Bulk quote request
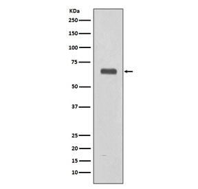
Western blot testing of human fetal liver lysate with C9 antibody. Expected molecular weight: 63-70 kDa depending on the level of glycosylation.
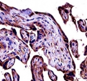
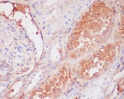
IHC staining of FFPE human kidney tissue with C9 antibody. HIER: boil tissue sections in pH6, 10mM citrate buffer, for 10-20 min and allow to cool before testing.
Availability 1-2 weeks
Species Reactivity Human
Format Purified
Clonality Rabbit Monoclonal
Isotype Rabbit IgG
Clone Name BAO-3
Purity Affinity purified
UniProt P02748
Applications Western Blot : 1:500-1:2000
Immunohistochemistry (FFPE) : 1:50-1:200
Limitations This C9 antibody is available for research use only.
Review this product on BioCompare and get a $20 Amazon gift card

Related Products

Description

Complement component C9 is a constituent of the membrane attack complex (MAC) that plays a key role in the innate and adaptive immune response by forming pores in the plasma membrane of target cells. [UniProt]

Application Notes

Optimal dilution of the C9 antibody should be determined by the researcher.

Immunogen

A synthetic peptide specific to human Complement Component C9 was used as the immunogen for the C9 antibody.

Storage

Store the C9 antibody at -20oC.

Cross
Bulk Quote Request Form
Name*:
Organization*:
Email*:
Phone Number*:
Catalog No.*:
Comments and Specifics(amount, formulation, etc.)*:
Validation code: Captchapackage Image


Can't read the image? click here to refresh.
    *required field

Your bulk quote request has been submitted successfully!

Please contact us if you have any questions.