• Tel: 858.663.9055
  • SeparatorEmail: info@nsjbio.com
  • Tel: 858.663.9055
  • Email: info@nsjbio.com
Home >> Antibodies >> C9 Antibody / Complement C9

C9 Antibody / Complement C9 (F43252)

  Catalog No Formulation Size Price (USD)  
Image F43252-0.4ML In 1X PBS, pH 7.4, with 0.09% sodium azide 0.4 ml 429
Image
F43252-0.08ML In 1X PBS, pH 7.4, with 0.09% sodium azide 0.08 ml 199
Bulk quote request
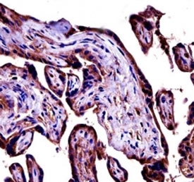
C9 antibody immunohistochemistry analysis in formalin fixed and paraffin embedded human placenta tissue.
C9 antibody western blot analysis in ZR-75-1 lysate
Availability 1-3 business days
Species Reactivity Human
Format Antigen affinity purified
Clonality Polyclonal (rabbit origin)
Isotype Rabbit Ig
Purity Antigen affinity
UniProt P02748
Applications Western Blot : 1:1000
IHC (Paraffin) : 1:10-1:50
Limitations This C9 antibody is available for research use only.
Review this product on BioCompare and get a $20 Amazon gift card

Related Products

Description

This gene encodes the final component of the complement system. It participates in the formation of the Membrane Attack Complex (MAC). The MAC assembles on bacterial membranes to form a pore, permitting disruption of bacterial membrane organization. Mutations in this gene cause component C9 deficiency. [provided by RefSeq].

Application Notes

Titration of the C9 antibody may be required due to differences in protocols and secondary/substrate sensitivity.

Immunogen

A portion of amino acids 191-220 from the human protein was used as the immunogen for this C9 antibody.

Storage

Aliquot the C9 antibody and store frozen at -20oC or colder. Avoid repeated freeze-thaw cycles.

Cross
Bulk Quote Request Form
Name*:
Organization*:
Email*:
Phone Number*:
Catalog No.*:
Comments and Specifics(amount, formulation, etc.)*:
Validation code: Captchapackage Image


Can't read the image? click here to refresh.
    *required field

Your bulk quote request has been submitted successfully!

Please contact us if you have any questions.