• Tel: 858.663.9055
  • SeparatorEmail: info@nsjbio.com
  • Tel: 858.663.9055
  • Email: info@nsjbio.com
Home >> Antibodies >> C5A Antibody / Complement C5A

C5A Antibody / Complement C5A (R31432)

  Catalog No Formulation Size Price (USD)  
Image R31432 0.5mg/ml if reconstituted with 0.2ml sterile DI water 100 ug 439
Bulk quote request
Western blot testing of C5A antibody and Lane 1: rat liver; 2: mouse liver; 3: (m) NIH3T3; 4: (m) HEPA1-6; 5: (r) PC12 lysate; Predicted molecular weight ~115 kDa.
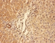
IHC-P: C5A antibody testing of mouse spleen tissue
IHC-P: C5A antibody testing of rat liver tissue
IHC-P: C5A antibody testing of rat spleen tissue
Availability 1-3 business days
Species Reactivity Mouse, Rat
Format Antigen affinity purified
Clonality Polyclonal (rabbit origin)
Isotype Rabbit IgG
Purity Antigen affinity
Buffer Lyophilized from 1X PBS with 2.5% BSA and 0.025% sodium azide/thimerosal
Gene ID 362119
Applications Western Blot : 0.5-1ug/ml
IHC (FFPE) : 0.5-1ug/ml
Limitations This C5A antibody is available for research use only.
Review this product on BioCompare and get a $20 Amazon gift card

Related Products

Description

C5a is a protein fragment released from complement C5. This gene is mapped to 9q33.2. The protein encoded by this gene is the fifth component of complement, which plays an important role in inflammatory and cell killing processes. This protein is comprised of alpha and beta polypeptide chains that are linked by a disulfide bridge. An activation peptide, C5a, which is an anaphylatoxin that possesses potent spasmogenic and chemotactic activity, is derived from the alpha polypeptide via cleavage with a convertase. The C5b macromolecular cleavage product can form a complex with the C6 complement component, and this complex is the basis for formation of the membrane attack complex, which includes additional complement components. Mutations in this gene cause complement component 5 deficiency, a disease where patients show a propensity for severe recurrent infections. Defects in this gene have also been linked to susceptibility to liver fibrosis and to rheumatoid arthritis.

Application Notes

The stated application concentrations are suggested starting amounts. Titration of the C5A antibody may be required due to differences in protocols and secondary/substrate sensitivity.

Immunogen

Amino acids DLQLLHQKVEEQAAKYKH were used as the immunogen for this C5A antibody.

Storage

After reconstitution, the C5A antibody can be stored for up to one month at 4oC. For long-term, aliquot and store at -20oC. Avoid repeated freezing and thawing.

Cross
Bulk Quote Request Form
Name*:
Organization*:
Email*:
Phone Number*:
Catalog No.*:
Comments and Specifics(amount, formulation, etc.)*:
Validation code: Captchapackage Image


Can't read the image? click here to refresh.
    *required field

Your bulk quote request has been submitted successfully!

Please contact us if you have any questions.