• Tel: 858.663.9055
  • SeparatorEmail: info@nsjbio.com
  • Tel: 858.663.9055
  • Email: info@nsjbio.com
Home >> Antibodies >> C4d Antibody / Complement 4d

C4d Antibody / Complement 4d [clone CPT4d-1] (V7025)

  Catalog No Formulation Size Price (USD)  
Image V7025-100UG 0.2 mg/ml in 1X PBS with 0.1 mg/ml BSA (US sourced) and 0.05% sodium azide 100 ug 539
Image
V7025-20UG 0.2 mg/ml in 1X PBS with 0.1 mg/ml BSA (US sourced) and 0.05% sodium azide 20 ug 249
Image
V7025SAF-100UG 1 mg/ml in 1X PBS; BSA free, sodium azide free 100 ug 539
Bulk quote request
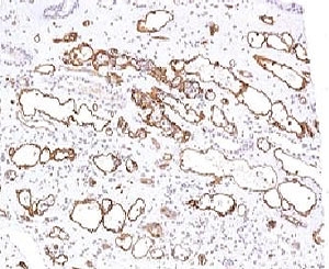
IHC testing of FFPE human kidney transplant tissue stained with C4d antibody (clone CPT4d-1). Staining of formalin-fixed tissues requires boiling tissue sections in 1mM EDTA, pH 7.5-8.5, for 10-20 min followed by cooling at RT for 20 min.
Species Reactivity Human
Format Purified
Clonality Monoclonal (mouse origin)
Isotype Mouse IgG1, kappa
Clone Name CPT4d-1
Purity Protein G affinity chromatography
Buffer 1X PBS, pH 7.4
Gene ID 720 , 721 (Human)
Localization Intracytoplasmic vacuoles of endothelial cells, Secreted
Applications Immunohistochemistry (FFPE):1-2ug/ml For 30 Min At RT :
Limitations This C4d antibody is available for research use only.
Review this product on BioCompare and get a $20 Amazon gift card

Related Products

Description

C4d antibody detects Complement component 4d, a stable cleavage fragment of complement protein C4 that serves as a critical marker of classical complement pathway activation. The UniProt recommended name is Complement component 4d (C4d). This fragment is covalently bound to cell surfaces or immune complexes following complement activation, making it a key biomarker in both immunological research and clinical diagnostics, particularly in the context of transplant immunopathology and immune complex-mediated diseases.

Functionally, C4d antibody identifies a 45 kDa fragment derived from proteolytic cleavage of the C4 protein. C4, a central component of the classical and lectin complement pathways, is activated when the C1 complex recognizes antigen-antibody immune complexes. Upon activation, C4 is cleaved by C1s into C4a and C4b; C4b then covalently attaches to nearby cell membranes via a thioester bond. Subsequent cleavage by factor I generates the stable C4d fragment, which remains bound to tissue or endothelial surfaces long after the initiating immune reaction has subsided. This durability makes C4d a reliable footprint of complement activation.

The C4A and C4B genes, located in the MHC class III region on chromosome 6p21.33, encode highly homologous isotypes of C4. C4d can arise from either gene product, differing slightly in chemical reactivity and substrate binding preferences. The fragment retains the covalent linkage properties of its parent molecule, allowing long-term visualization of complement activation sites. C4d is considered a 'molecular scar' of complement activity and is routinely used as a surrogate marker in diagnostic immunopathology.

In renal and cardiac transplantation, C4d deposition in peritubular capillaries or endothelium serves as an important histopathological hallmark of antibody-mediated rejection (AMR). Persistent detection of C4d indicates complement-fixing donor-specific antibodies that trigger tissue injury. Pathologists frequently assess C4d by immunohistochemistry or immunofluorescence to grade rejection severity and guide clinical management. Outside transplantation, C4d is also relevant in systemic lupus erythematosus (SLE), cryoglobulinemia, and vasculitis, where it marks sites of immune complex deposition and complement activation.

C4d antibody is widely used in immunology, pathology, and complement biology research. It is suitable for immunohistochemistry, immunofluorescence, and ELISA-based detection of complement activation. In experimental systems, C4d staining aids in mapping complement activity on cell membranes, endothelial surfaces, or tissue sections following immune complex formation. This antibody provides valuable insight into complement regulation, innate immunity, and antibody-mediated injury mechanisms. It also supports diagnostic workflows for assessing graft rejection and immune complex disease progression.

Complement activation through the classical pathway begins with C1q recognition of antigen-bound IgG or IgM, followed by sequential cleavage of C4 and C2, forming the C3 convertase (C4b2a). The formation of C4d represents a terminal record of this cascade. Detection of C4d provides a more persistent signal than upstream complement components, since C4d remains covalently attached to tissue even after the resolution of inflammation. As a result, C4d staining has become an established diagnostic criterion in transplantation pathology alongside molecular and serologic markers.

Beyond its diagnostic utility, C4d serves as a biomarker for therapeutic monitoring and research into complement-targeting drugs. Inhibition of C1 or C4 activation can reduce C4d deposition, providing a quantifiable endpoint for efficacy testing in both preclinical and clinical studies. Elevated circulating C4d levels may also correlate with autoimmune flare activity and vascular injury in systemic diseases.

Structurally, C4d retains the core domains of C4 responsible for covalent thioester formation and membrane binding. The fragment remains antigenically stable under fixation and staining conditions, allowing robust detection in paraffin-embedded tissues. NSJ Bioreagents provides C4d antibody reagents validated for use in complement activation, immunopathology, and transplant immunology research.

Application Notes

The concentration stated for each application is a general starting point. Variations in protocols, secondaries and substrates may require the C4d antibody to be titered up or down for optimal performance.

Immunogen

Human protein was used as the immunogen for this C4d antibody.

Storage

Store the C4d antibody at 2-8oC (with azide) or aliquot and store at -20oC or colder (without azide).

Cross
Bulk Quote Request Form
Name*:
Organization*:
Email*:
Phone Number*:
Catalog No.*:
Comments and Specifics(amount, formulation, etc.)*:
Validation code: Captchapackage Image


Can't read the image? click here to refresh.
    *required field

Your bulk quote request has been submitted successfully!

Please contact us if you have any questions.