• Tel: 858.663.9055
  • SeparatorEmail: info@nsjbio.com
  • Tel: 858.663.9055
  • Email: info@nsjbio.com
Home >> Antibodies >> C1QA Antibody / Complement C1q A-Chain

C1QA Antibody / Complement C1q A-Chain [clone CCSA-1] (V8133)

  Catalog No Formulation Size Price (USD)  
Image V8133-100UG 0.2 mg/ml in 1X PBS with 0.1 mg/ml BSA (US sourced) and 0.05% sodium azide 100 ug 539
Image
V8133-20UG 0.2 mg/ml in 1X PBS with 0.1 mg/ml BSA (US sourced) and 0.05% sodium azide 20 ug 249
Image
V8133SAF-100UG 1 mg/ml in 1X PBS; BSA free, sodium azide free 100 ug 539
Bulk quote request
Western blot testing of human PC3 cell lysate with C1QA antibody (clone CCSA-1). Predicted molecular weight ~26 kDa.
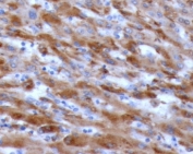
IHC staining of FFPE human liver with C1QA antibody (clone CCSA-1). HIER: boil tissue sections in pH 9 10mM Tris with 1mM EDTA for 10-20 min and allow to cool before testing.
Availability 1-3 business days
Species Reactivity Human
Format Purified
Clonality Monoclonal (mouse origin)
Isotype Mouse IgG2b, kappa
Clone Name CCSA-1
Purity Protein G affinity chromatography
UniProt P02745
Localization Secreted
Applications Western Blot : 1-2ug/ml
Immunohistochemistry (FFPE) : 1-2ug/ml
Limitations This C1QA antibody is available for research use only.
Review this product on BioCompare and get a $20 Amazon gift card

Related Products

Description

C1q associates with the proenzymes C1r and C1s to yield C1, the first component of the serum complement system. The collagen-like regions of C1q interact with the Ca2+-dependent C1r2C1s2 proenzyme complex, and efficient activation of C1 takes place on interaction of the globular heads of C1q with the Fc regions of IgG or IgM antibody present in immune complexes. [UniProt]

Application Notes

The stated application concentrations are suggested starting points. Titration of the C1QA antibody may be required due to differences in protocols and secondary/substrate sensitivity.

Immunogen

Amino acids 104-237 were used as the immunogen for the C1QA antibody.

Storage

Store the C1QA antibody at 2-8oC (with azide) or aliquot and store at -20oC or colder (without azide).

Cross
Bulk Quote Request Form
Name*:
Organization*:
Email*:
Phone Number*:
Catalog No.*:
Comments and Specifics(amount, formulation, etc.)*:
Validation code: Captchapackage Image


Can't read the image? click here to refresh.
    *required field

Your bulk quote request has been submitted successfully!

Please contact us if you have any questions.