• Tel: 858.663.9055
  • SeparatorEmail: info@nsjbio.com
  • Tel: 858.663.9055
  • Email: info@nsjbio.com
Home >> Antibodies >> C1QA Antibody / Complement C1q A-Chain

C1QA Antibody / Complement C1q A-Chain [clone C1QA/2956] (V8125)

  Catalog No Formulation Size Price (USD)  
Image V8125-100UG 0.2 mg/ml in 1X PBS with 0.1 mg/ml BSA (US sourced) and 0.05% sodium azide 100 ug 539
Image
V8125-20UG 0.2 mg/ml in 1X PBS with 0.1 mg/ml BSA (US sourced) and 0.05% sodium azide 20 ug 249
Image
V8125SAF-100UG 1 mg/ml in 1X PBS; BSA free, sodium azide free 100 ug 539
Microvalidated
Bulk quote request
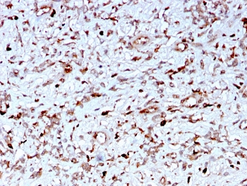
IHC staining of FFPE human liver with C1QA antibody. HIER: boil tissue sections in pH 9 10mM Tris with 1mM EDTA for 10-20 min and allow to cool before testing.
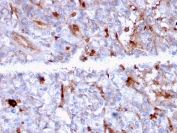
IHC staining of FFPE human kidney with C1QA antibody . HIER: boil tissue sections in pH 9 10mM Tris with 1mM EDTA for 10-20 min and allow to cool before testing.
Analysis of HuProt(TM) microarray containing more than 19,000 full-length human proteins using C1QA antibody (clone C1QA/2956). These results demonstrate the foremost specificity of the C1QA/2956 mAb. Z- and S- score: The Z-score represents the strength of a signal that an antibody (in combination with a fluorescently-tagged anti-IgG secondary Ab) produces when binding to a particular protein on the HuProt(TM) array. Z-scores are described in units of standard deviations (SD's) above the mean value of all signals generated on that array. If the targets on the HuProt(TM) are arranged in descending order of the Z-score, the S-score is the difference (also in units of SD's) between the Z-scores. The S-score therefore represents the relative target specificity of an Ab to its intended target.
SDS-PAGE analysis of purified, BSA-free C1QA antibody as confirmation of integrity and purity.
Availability 1-3 business days
Species Reactivity Human
Format Purified
Clonality Monoclonal (mouse origin)
Isotype Mouse IgG2b, kappa
Clone Name C1QA/2956
Purity Protein G affinity chromatography
UniProt P02745
Localization Secreted
Applications Immunohistochemistry (FFPE) : 1-2ug/ml
Limitations This C1QA antibody is available for research use only.
Review this product on BioCompare and get a $20 Amazon gift card

Related Products

Description

C1QA antibody detects complement component 1q subcomponent subunit A, encoded by the C1QA gene. C1QA is part of the C1 complex, the recognition unit of the classical complement pathway. Together with subunits C1QB and C1QC, C1QA forms a hexameric bouquet-like structure that binds immune complexes and pathogen-associated ligands, initiating complement activation. Because complement signaling is fundamental to innate immunity, C1QA antibody is important for research in immunology, autoimmunity, and infection biology.

C1QA consists of a collagen-like domain and a globular head region that mediates ligand recognition. Binding of C1q to antibodies or other targets triggers activation of C1r and C1s proteases, initiating the complement cascade. This cascade results in opsonization, inflammation, and lysis of target cells. Beyond host defense, C1QA contributes to clearance of apoptotic cells and immune complexes, preventing autoimmunity.

The C1QA antibody clone C1QA/2956 provides reliable and specific detection. Clone C1QA/2956 has been employed in peer-reviewed studies of complement biology, autoimmune disease, and neuroinflammation. Its performance in immunohistochemistry, immunoblotting, and flow cytometry makes it a versatile tool for studying complement function across model systems.

Research using clone C1QA/2956 has revealed how dysregulation of complement contributes to pathology. In systemic lupus erythematosus, impaired C1q function is linked to defective clearance of apoptotic debris, fueling autoantibody production. In neurodegenerative diseases, C1q has been implicated in synaptic pruning and inflammation, making it a focus of current investigation. Its detection with this antibody allows researchers to map complement activation and study how it shapes both protective and pathological immune responses.

NSJ Bioreagents supplies this C1QA antibody to support immunology, autoimmunity, and complement biology. Alternate names include complement component 1q subcomponent A antibody, C1q alpha chain antibody, complement recognition subunit antibody, classical pathway initiator antibody, and innate immunity complement protein antibody.

Application Notes

Optimal dilution of the C1QA antibody should be determined by the researcher.

Immunogen

A recombinant human partial protein (amino acids 104-237) was used as the immunogen for the C1QA antibody.

Storage

Store the C1QA antibody at 2-8oC (with azide) or aliquot and store at -20oC or colder (without azide).

Cross
Bulk Quote Request Form
Name*:
Organization*:
Email*:
Phone Number*:
Catalog No.*:
Comments and Specifics(amount, formulation, etc.)*:
Validation code: Captchapackage Image


Can't read the image? click here to refresh.
    *required field

Your bulk quote request has been submitted successfully!

Please contact us if you have any questions.