• Tel: 858.663.9055
  • SeparatorEmail: info@nsjbio.com
  • Tel: 858.663.9055
  • Email: info@nsjbio.com
Home >> Antibodies >> C1QA Antibody / Complement C1q A-Chain

C1QA Antibody / Complement C1q A-Chain [clone C1QA/2954] (V8123)

  Catalog No Formulation Size Price (USD)  
Image V8123-100UG 0.2 mg/ml in 1X PBS with 0.1 mg/ml BSA (US sourced) and 0.05% sodium azide 100 ug 539
Image
V8123-20UG 0.2 mg/ml in 1X PBS with 0.1 mg/ml BSA (US sourced) and 0.05% sodium azide 20 ug 249
Image
V8123SAF-100UG 1 mg/ml in 1X PBS; BSA free, sodium azide free 100 ug 539
Microvalidated
Bulk quote request
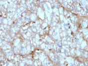
IHC staining of FFPE human liver with C1QA antibody. HIER: boil tissue sections in pH 9 10mM Tris with 1mM EDTA for 10-20 min and allow to cool before testing.
IHC staining of FFPE human kidney with C1QA antibody. HIER: boil tissue sections in pH 9 10mM Tris with 1mM EDTA for 10-20 min and allow to cool before testing.
Western blot testing of human PC3 cell lysate with C1QA antibody. Predicted molecular weight ~26 kDa.
Analysis of HuProt(TM) microarray containing more than 19,000 full-length human proteins using C1QA antibody (clone C1QA/2954). These results demonstrate the foremost specificity of the C1QA/2954 mAb. Z- and S- score: The Z-score represents the strength of a signal that an antibody (in combination with a fluorescently-tagged anti-IgG secondary Ab) produces when binding to a particular protein on the HuProt(TM) array. Z-scores are described in units of standard deviations (SD's) above the mean value of all signals generated on that array. If the targets on the HuProt(TM) are arranged in descending order of the Z-score, the S-score is the difference (also in units of SD's) between the Z-scores. The S-score therefore represents the relative target specificity of an Ab to its intended target.
SDS-PAGE analysis of purified, BSA-free C1QA antibody as confirmation of integrity and purity.
Western blot testing of human T-47D cell lysate with C1QA antibody. Predicted molecular weight ~26 kDa.
Availability 1-3 business days
Species Reactivity Human
Format Purified
Clonality Monoclonal (mouse origin)
Isotype Mouse IgG2b, kappa
Clone Name C1QA/2954
Purity Protein G affinity chromatography
UniProt P02745
Localization Secreted
Applications Western Blot : 1-2ug/ml
Immunohistochemistry (FFPE) : 1-2ug/ml
Limitations This C1QA antibody is available for research use only.
Review this product on BioCompare and get a $20 Amazon gift card

Related Products

Description

C1q, a subcomponent of the classical complement pathway, is composed of nine subunits that mediate classical complement activation and thereby play an important role in the immune response. Six of these subunits are disulfide-linked dimers of chains A and B, while three of these subunits, designated C1q-A through C1q-C, are disulfide-linked dimers of chain C. Each chain contains an N-terminal collagen-like region and a C-terminal C1q globular domain. The presence of receptors for C1q on effector cells modulates its activity, which may be antibody-dependent or independent. Macrophages are the primary source of C1q, while anti-inflammatory drugs as well as cytokines differentially regulate expression of the mRNA as well as the protein. C1q deficiency is associated with lupus erythematosus and glomerulonephritis.

Application Notes

Optimal dilution of the C1QA antibody should be determined by the researcher.

Immunogen

A recombinant human partial protein (amino acids 104-237) was used as the immunogen for the C1QA antibody.

Storage

Store the C1QA antibody at 2-8oC (with azide) or aliquot and store at -20oC or colder (without azide).

Cross
Bulk Quote Request Form
Name*:
Organization*:
Email*:
Phone Number*:
Catalog No.*:
Comments and Specifics(amount, formulation, etc.)*:
Validation code: Captchapackage Image


Can't read the image? click here to refresh.
    *required field

Your bulk quote request has been submitted successfully!

Please contact us if you have any questions.